Een vrouw met pijn rechtsonder in de buik

Gepubliceerd:

1921 deelnemers

Week 3 D6328_F1bq.jpg

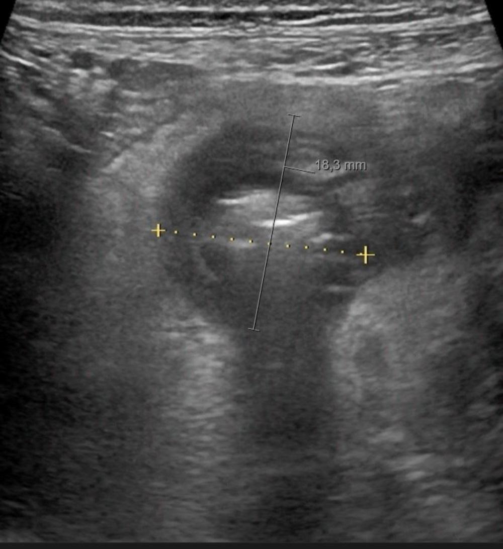
Een 59-jarige vrouw komt naar de SEH met zeurende pijn rechtsonder in de buik sinds 4 dagen. Er is drukpijn op het punt van McBurney, maar geen koorts of misselijkheid. De CRP-waarde is 43 mmol/l. De radioloog verricht echografie.

Wat is de diagnose?

Antwoord