Een vrouw met ischemische klachten van ogen en arm

Gepubliceerd:

163 deelnemers

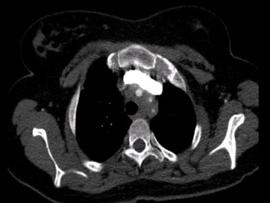
CT-angiografie met een transversale doorsnede van de aortaboog van patiënte

Een 23-jarige vrouw komt op de polikliniek Interne Geneeskunde. Wegens een toename in de frequentie van haar migraine-aanvallen had de huisarts een bètablokker voorgeschreven. Vervolgens krijgt patiënte klachten van duizeligheid en zwarte vlekken voor haar ogen bij opstaan uit zittende of liggende houding, na fysieke inspanning en bij overgang van koud naar warm. Op de CT-angiografie wordt een opmerkelijke afwijking gezien.

Wat is uw diagnose?
Antwoord