Een vrouw met intermitterende buikpijnklachten

Gepubliceerd:

1509 deelnemers

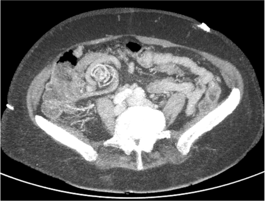
CT-angiogram

Een 80-jarige vrouw komt bij de Spoedeisende Hulp wegens een sinds 12 uur bestaande koliekachtige buikpijn en braken. De buikpijn verdwijnt weer, maar de uitstraling naar de rug verergert. In haar voorgeschiedenis staan een cholecystectomie en een gedilateerde thoracale aorta. Er werd een CT-angiogram van de totale aorta gemaakt.

Wat is er aan de hand?

Antwoord