Een vrouw met acute buikpijn na een gastric bypass

Gepubliceerd:

273 deelnemers

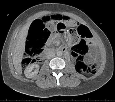
Een vrouw van 35 jaar meldt zich met hevige buikpijn op de SEH. Zij onderging eerder een cholecystectomie, een gastric bypass en een buikwandcorrectie. Een specifiek kenmerk op de CT-scan leidt naar de diagnose.

Wat is uw diagnose?
Antwoord