Een voetballer met een pijnlijke zwelling van de knie

Gepubliceerd:

188 deelnemers

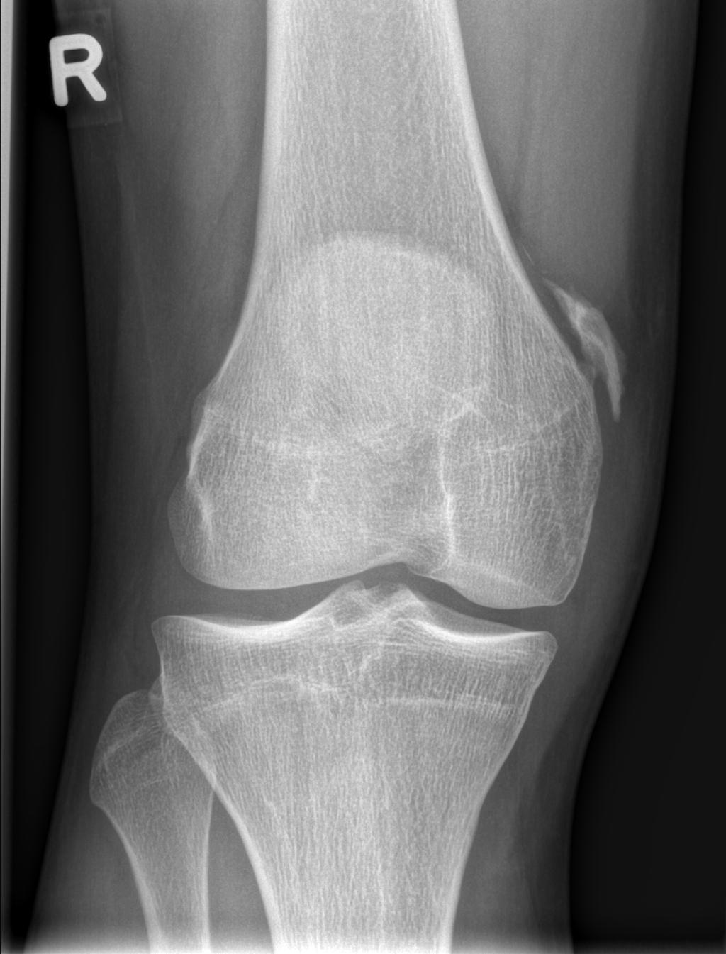
Een 19-jarige man bezocht de polikliniek Orthopedie vanwege pijn en een zwelling aan de mediale zijde van zijn rechter knie. Hij had 1,5 jaar eerder 2 maal een distorsie van de knie gehad tijdens het voetballen.

Wat is uw diagnose?
Antwoord