Gepubliceerd:
176 deelnemers
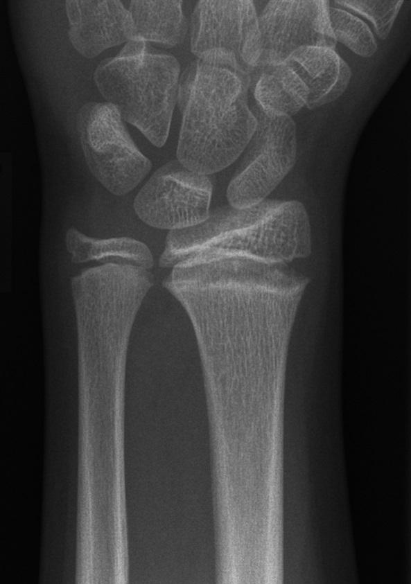
Een 11-jarige turnster kwam op de polikliniek Sportgeneeskunde, omdat zij sinds 1 jaar pijnlijke polsen had. Patiënte vertelde dat de pijn tijdens en na elke training optrad. Anamnestisch was er geen evident trauma bekend. Bij lichamelijk onderzoek zagen wij een niet-afwijkende stand van de polsen, zonder zwellingen of bewegingsbeperkingen. Alle weerstandstesten waren positief, maar de kracht was onverminderd.