Een oude vrouw met een stijve duim

Gepubliceerd:

176 deelnemers

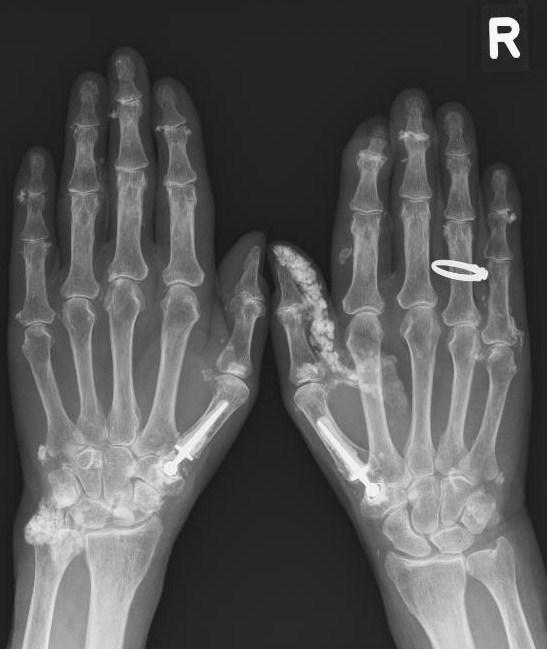
Een 81-jarige vrouw presenteerde zich met sinds enkele jaren bestaande, progressieve pijn, stijfheid, zwelling en een doof gevoel van de rechter duim. In 1979 had zij beiderzijds een duimbasisprothese (CMC-1) gekregen. Ze gaf tevens aan dat ze zich vaak verslikte en dat de passage van voedsel stagneerde. Daarbij had patiënte klachten passend bij het fenomeen van Raynaud. Bij lichamelijk onderzoek zagen wij een forse verdikking aan de gehele buigzijde van de duim. Buigen van de duim was niet mogelijk en zeer pijnlijk. De ulnaire zijde van de linker pols en beide olecrani waren gezwollen en gevoelig.
Wat is uw diagnose?
Antwoord