Een Nicaraguaanse man met een epileptische aanval

Gepubliceerd:

176 deelnemers

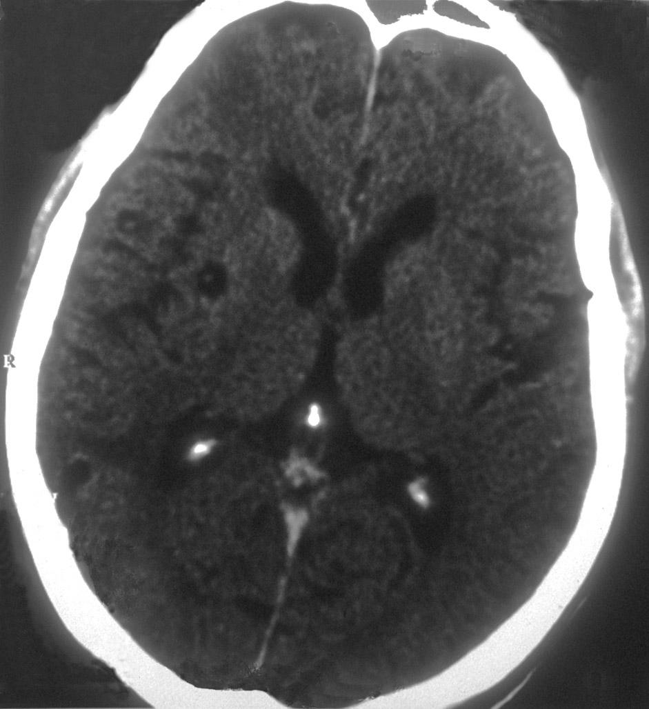
Een 56-jarige Nicaraguaanse man met een blanco voorgeschiedenis werd door een lokale gezondheidsmedewerker verwezen vanwege epilepsie. Heteroanamnestisch bleek het te gaan om een epileptisch insult, hetgeen in de afgelopen maand tweemaal was voorgekomen. Bij het neurologisch onderzoek werden geen afwijkingen gevonden. Gezien het vermoeden van een ruimte-innemend proces werd een CT-scan van de hersenen verricht. Daarbij vielen 5 kleine hypo-intense afwijkingen op.
Wat is uw diagnose?
Antwoord