Een man met vrij gas in de buik

Gepubliceerd:

170 deelnemers

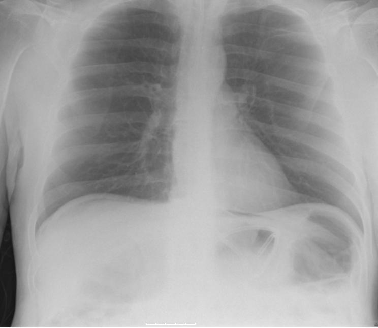
Een 52-jarige man meldde zich met klachten van misselijkheid, braken, buikpijn en persisterende diarree. De klachten waren een week na palliatieve chemotherapie ontstaan (intraveneus etoposide en cisplatine, oraal capecitabine). Patiënt kreeg deze chemotherapie voor peritonitis carcinomatosa bij een lokaal doorgegroeid maagcarcinoom. Bij lichamelijk onderzoek waren druk- en loslaatpijn in epigastrio en afwezige leverdemping bij percussie. Laboratoriumonderzoek toonde een verhoogd CRP (270 mg/l) en een gecompenseerde metabole acidose. Een thoraxröntgenfoto bevestigde ons vermoeden van vrij gas in de buikholte (klik op de afbeelding voor volledige weergave).
Wat is uw diagnose?
Antwoord