Een man met schizofrenie en anemie

Gepubliceerd:

168 deelnemers

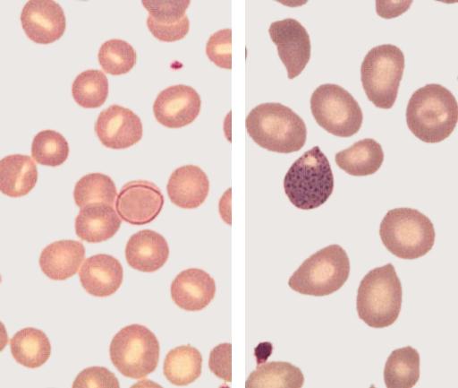
Een 25-jarige man werd opgenomen wegens buikpijn, misselijkheid, braken, gewichtsverlies, geelzucht en anemie. Zijn voorgeschiedenis vermeldde schizofrenie. Laboratoriumonderzoek gaf als uitslagen (referentiewaarden tussen haakjes): Hb: 4,7 mmol/l (8,6-10,5); ‘mean corpuscular volume’ (MCV): 80 fl (80-101); bilirubine: 75 μmol/l (< 18); lactaatdehydrogenase (LDH): 950 U/l (< 350); haptoglobine: 0,1 g/l (0,3-2,0); reticulocyten: 93 promille (< 20). Microscopisch onderzoek van de erytrocyten toonde anisocytose, basofiele stippeling en enkele Cabot-ringen.
Wat is uw diagnose?
Antwoord