Gepubliceerd:
179 deelnemers
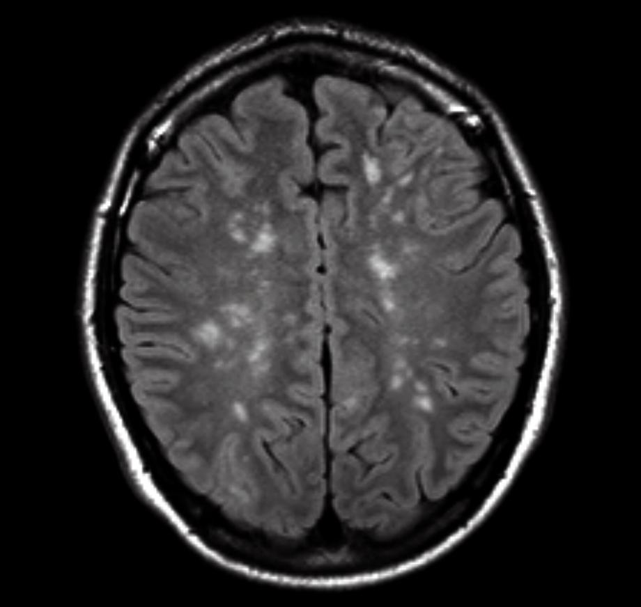
Een 23-jarige man werd na een auto-ongeval op de Spoedeisende Hulp gebracht. Hij had beiderzijds femurfracturen waarvoor hij een operatieve pen- en schroeffixatie onderging. Direct na de operatie was zijn bewustzijn niet-afwijkend, maar binnen enkele uren trad er een bewustzijnsdaling op. Patiënt had toen een Glasgow-comascore van E3M5V1 (openen van ogen op aanspreken, lokaliseren van pijnprikkel, niet spreken) en respiratoire insufficiëntie. Bij neurologisch onderzoek waren er geen focale neurologische afwijkingen. De bloedgasanalyse toonde een respiratoire acidose. Tijdens het maken van een CT-scan van de hersenen kreeg patiënt 2 maal een gegeneraliseerd tonisch-clonisch insult.