Een man met een afwijkende bovenarm op de X-thorax

Gepubliceerd:

212 deelnemers

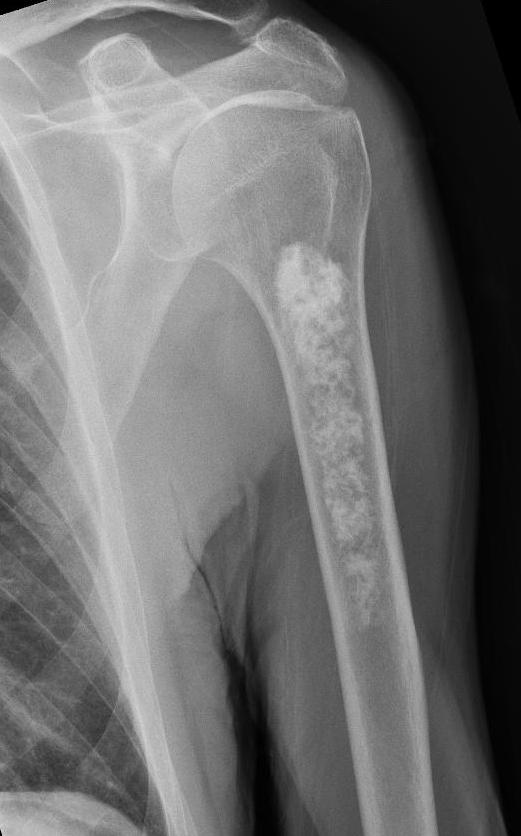
röntgenfoto van de arm

Een 82-jarige man werd verwezen naar het ziekenhuis vanwege valneiging. Uit de anamnese en het lichamelijk onderzoek kwamen geen relevante bijzonderheden naar voren. Bij de analyse van de valneiging werd routinematig een röntgenfoto van de thorax gemaakt. Hierop werd bij toeval een afwijking in linker humerus gezien.

Wat is uw diagnose?
Antwoord