Een luchtig gevoel

Gepubliceerd:

157 deelnemers

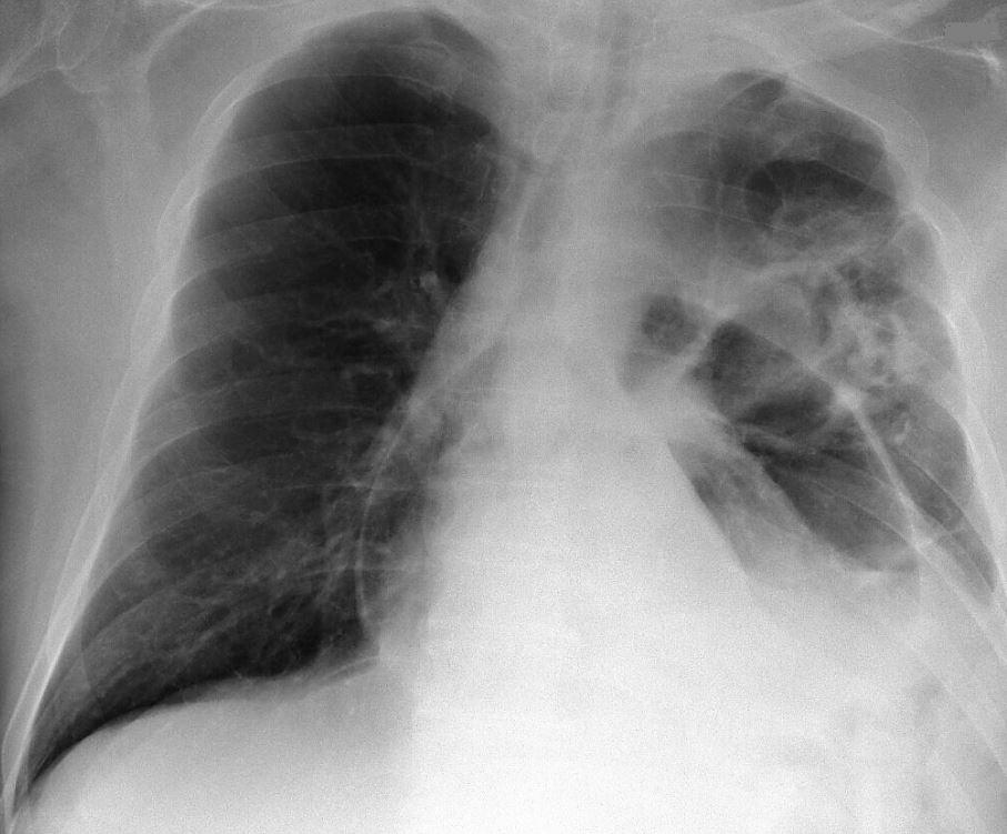
Een 65-jarige man komt naar de Spoedeisende Hulp met ‘een luchtig gevoel’ in de linker thoraxhelft. De voorgeschiedenis vermeldt een cerebraal en lymfogeen gemetastaseerd bronchuscarcinoom, waarvoor hij palliatieve chemotherapie krijgt.

Wat is uw diagnose?
Antwoord