Een harde zwelling na een olecranonfractuur

Gepubliceerd:

129 deelnemers

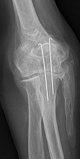
Röntgenfoto van de elleboog

Een 77-jarige man had 15 jaar geleden een olecranonfractuur gehad. Nu heeft hij geringe pijn in zijn rechter elleboog. Aan de ulnaire zijde van de onderarm zit een harde zwelling. Er wordt een röntgenfoto van de elleboog gemaakt.

Wat is uw diagnose?
Antwoord