Een asielzoeker met pijn op de borst

Gepubliceerd:

1078 deelnemers

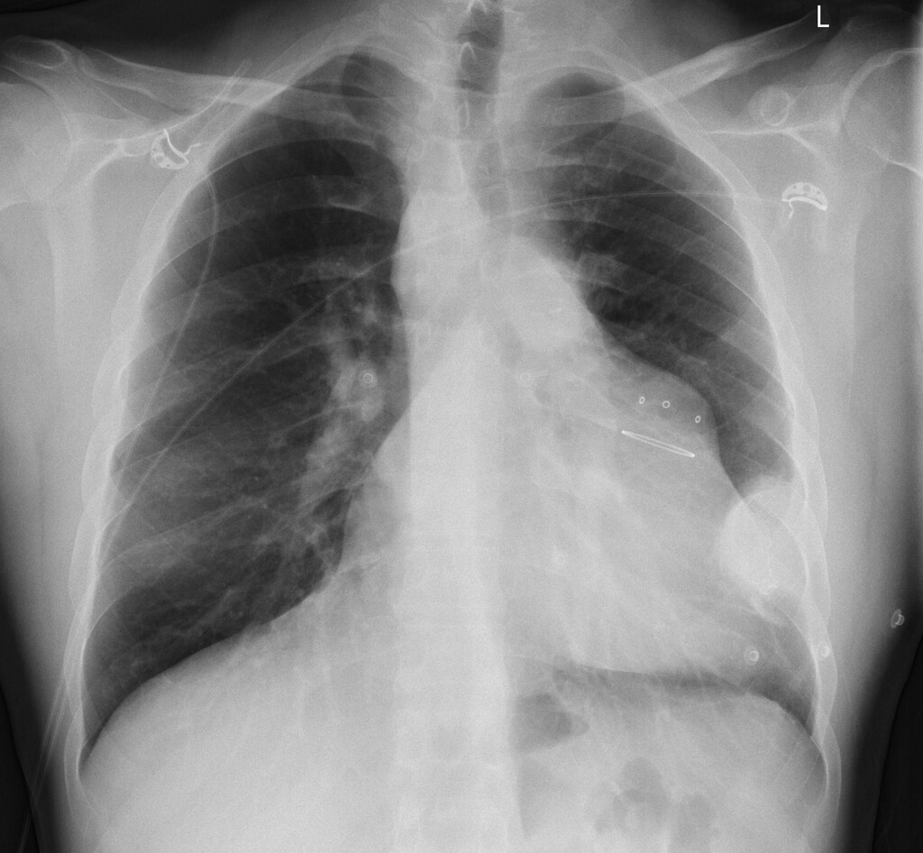
Röntgenbeeld van de borstkas

Deze patiënt heeft sinds drie dagen drukkende pijn links op de borst. Op 3-jarige leeftijd onderging hij een correctie van tetralogie van Fallot en twee jaar geleden een pulmonalisklepvervanging. Nu zijn er geen aanwijzingen voor cardiale afwijkingen bij lichamelijk onderzoek en op het ecg. 

Wat kan de klachten verklaren?

Antwoord