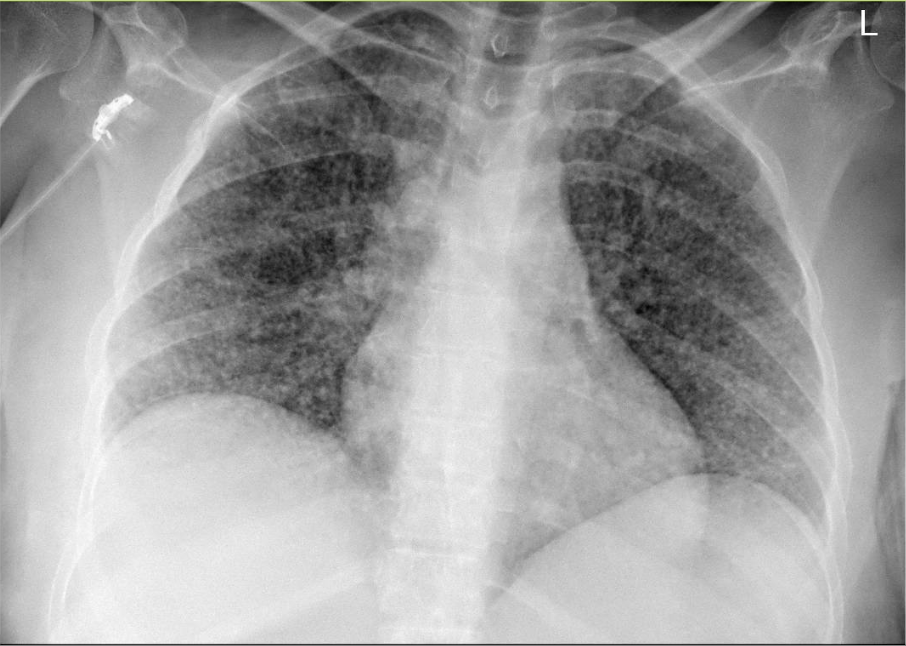
Gepubliceerd: Week 49 - 2024 2262 deelnemers Een zwangere vrouw uit India heeft sinds enkele weken een droge hoest en nu ook koorts en hoofdpijn. De voorgeschiedenis is blanco. Ze wordt plotseling verward. Wat is de diagnose? Antwoord pulmonale metastasen tuberculose sarcoïdose pneumoconiose Antwoord controleren