Buikpijn en braken na een sectio

Gepubliceerd:

1864 deelnemers

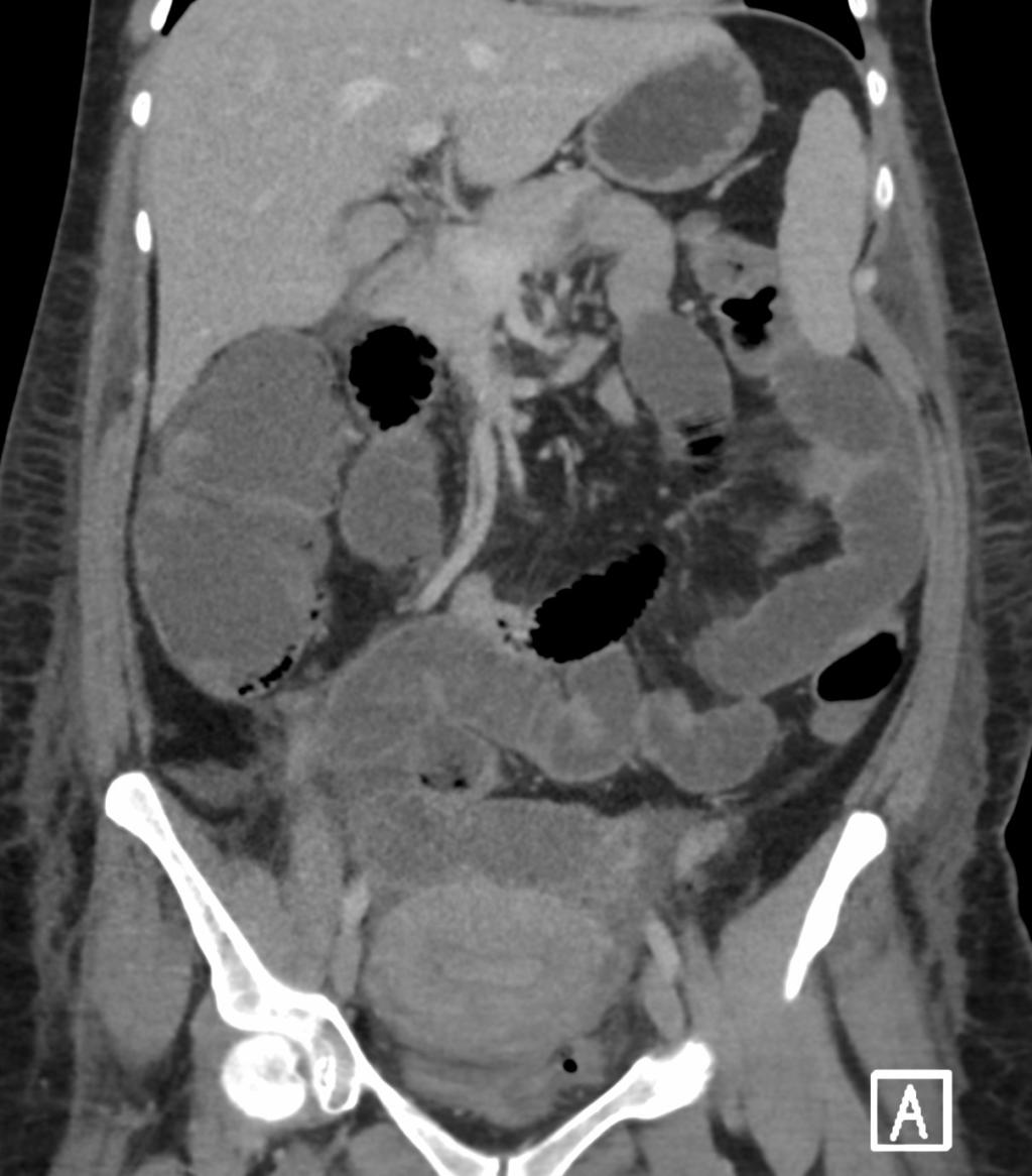
Een CT-scan van het abdomen.

Een 32-jarige, gezonde vrouw wordt 2 dagen na een gecompliceerde sectio caesarea door de chirurg gezien vanwege diffuse buikpijn en braken. Patiënte is ziek en er is sprake van diffuse peritoneale prikkeling. Een CT-scan van het abdomen laat een afwijking van het caecum zien.

Wat is de diagnose?

Antwoord