Afwijkingen op een thoraxfoto

Gepubliceerd:

227 deelnemers

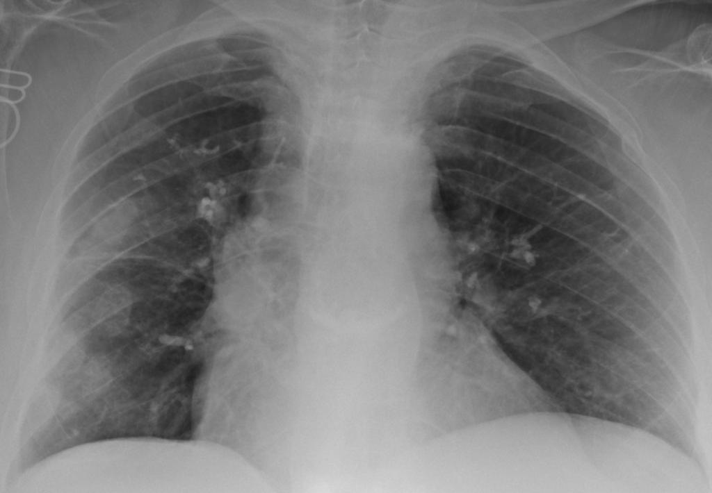
Een 59-jarige vrouw komt naar de Spoedeisende Hulp in verband met koorts en kortademigheid. Haar medische voorgeschiedenis vermeldt onder andere ribfracturen na een ongeval en inzakkingsfracturen. Op een röntgenfoto van de thorax zijn verschillende afwijkingen zichtbaar.

Wat is uw diagnose?
Antwoord