Thoracocentese: juiste indicatie en juiste plaats?

Schematische weergave van longen
Abstract
Maartje S. Frijlink
Freek L. Coumou
Yvonne Houben
Corien Verrips
Geert-Jan van Geffen
Cornelis Slagt
Download PDF

Beste collega’s,

In dit artikel bespreken we de thoracocentese, de initiële behandeling van een spanningspneumothorax. In de praktijk wordt die behandeling vaak ten onrechte of onjuist toegepast. Wij beschrijven hoe het wel moet.

Kernpunten
  • Plaatsing van een thoracocentese bij een patiënt met een spanningspneumothorax kan een levensreddende handeling zijn.
  • Er wordt echter vaak ten onrechte aan een spanningspneumothorax gedacht, zeker bij spontaan ademende patiënten.
  • De thoracocentese wordt vaak technisch onjuist uitgevoerd, waardoor die niet effectief is.
  • De juiste indicatie is een wakkere patiënt met een pneumothorax die in doodsangst verkeert of reanimatie van een traumapatiënt bij wie ademgeruis afwezig is tijdens adequate beademing.

artikel

In de prehospitale setting zien wij een toename van het aantal thoracocenteses sinds er meer aandacht is gekomen voor de vroegtijdige behandeling van reversibele oorzaken van circulatiestilstand volgens de zogenoemde HOTT-procedure (zie het informatiekader).1 Hierbij zien wij dat de indicatiestelling en plaatsing van de thoracocentese lastig zijn.2-8 Aan de hand van drie casussen uit de praktijk beschrijven wij de kenmerken van een spanningspneumothorax en de juiste toepassing van de thoracocentese.

Patiënt A, een man van middelbare leeftijd, wordt door omstanders gereanimeerd na een verkeersongeval. Bij aankomst van de ambulance heeft de patiënt een hartritme en ademt hij zelfstandig. De reanimatie wordt daarom gestopt. Het slachtoffer is op dat moment niet aanspreekbaar. Er wordt een orale mayotube ingebracht om de geobstrueerde ademweg te openen. Bij auscultatie is er beiderzijds ademgeruis en de borstkas voelt stabiel. Bij een zuurstofsaturatie van 90% wordt begonnen met zuurstoftoediening via een ‘non-rebreathing’-masker. De patiënt is hypotensief. Het bekken en de bovenbenen zijn stabiel; de buik voelt hard aan. De patiënt reageert niet op een pijnprikkel, maar de pupillen reageren wel op licht. Bij herbeoordeling wordt mogelijk een hoogstand van de linker borstkashelft gezien. Vanwege de combinatie van hoogstand van de borstkashelft en een lage bloeddruk denkt de ambulanceverpleegkundige aan de mogelijkheid van een spanningspneumothorax. Er wordt besloten een midaxillaire thoracocentese te verrichten. Na plaatsing ontsnapt er geen lucht. Het klinisch beeld van de patiënt blijft onveranderd.

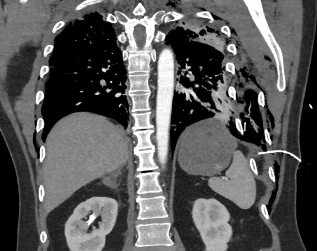
Bij aankomst van het Mobiel Medisch Team (MMT) wordt de patiënt beademd met masker en ballon vanwege het feit dat de ademfrequentie progressief is gedaald. Vanwege het vermoeden van een ernstig neurotrauma wordt de patiënt door het MMT gesedeerd, geïntubeerd en beademd. Echo-onderzoek van de borstkas laat beiderzijds longsliding zien, wat suggereert dat er op die plek geen sprake is van pneumothorax. De patiënt wordt zonder verdere interventies naar het ziekenhuis vervoerd. Daar laat een CT-scan van de thorax zien dat de patiënt beiderzijds meerdere ribfracturen en subcutaan emfyseem heeft. Er zijn kleine ventrale pneumothoraxen zichtbaar. Aan de linkerzijde zijn de ribfracturen sterk verplaatst en is er sprake van longcontusie. Hoewel de patiënt positieve-drukbeademing krijgt, zijn er geen aanwijzingen voor een spanningspneumothorax. Ook is te zien dat de thoracocentesekatheter onder het diafragma eindigt, en niet in de pleuraholte (figuur 1).

Figuur 1
Locatie thoracocenthesekatheter bij patiënt A
Figuur 1 | Locatie thoracocenthesekatheter bij patiënt A
‘Curved multiplanar’ reconstructie van een CT-scan van de thorax van een patiënt van middelbare leeftijd na een verkeersongeval. Er zijn beiderzijds meerdere ribfracturen zichtbaar en subcutaan emfyseem. Aan de linkerzijde zijn de ribfacturen sterk verplaatst en is er sprake van longcontusie. Er zijn kleine ventrale pneumothoraxen aanwezig, maar geen aanwijzingen voor een spanningspneumothorax. In de linker flank is een thoracocenthesekatheter ingebracht; deze eindigt onder het diafragma.

Patiënt B, een vijftiger, wordt als fietser geschept door een auto. Omdat de patiënt niet meer ademt, beginnen omstanders hem te reanimeren. Bij aankomst van de ambulance stelt de ambulancebemanning vast dat de patiënt een hartslag en circulatie heeft. Vanwege de ernst van het ongeval wordt anticiperend op verdere klinische achteruitgang een HOTT-procedure opgestart, waarbij beiderzijds een thoracocentese wordt verricht.

Er vindt een rendez-vous met het MMT plaats voor luchtwegmanagement bij het neurotrauma. Tijdens masker-ballonbeademing vóór intubatie is er beiderzijds ademgeruis; de zuurstofsaturatie is 98%. De thorax voelt intact. Op circulatoir gebied is de patiënt bleek met een sinustachycardie en een hoge bloeddruk. Bij neurologisch onderzoek buigt de patiënt pathologisch na een pijnprikkel; er is geen lateralisatie. De pupillen zijn lichtreactief. Na intubatie en toediening van hypertoon zout ontstaat er een stabiele klinische situatie. Bij de traumascreening blijkt er sprake van een geïsoleerd ernstig neurotrauma. Een CT-scan van de thorax laat een minimale ventrale pneumothorax zien aan de linkerzijde. De linker thoracocentesekatheter reikt tot enkele centimeters in het longparenchym (supplement 1). De rechter katheter bereikt de pleuraholte niet (figuur 2).

Figuur 2
Locatie rechter thoracocenthesekatheter bij patiënt B
Figuur 2 | Locatie rechter thoracocenthesekatheter bij patiënt B
‘Curved multiplanar’ reconstructie van een CT-scan van de thorax van een vijftiger die met de fiets is geschept door een auto. Tijdens de opvang door de ambulance zijn beiderzijds thoracocenthesekatheters ingebracht. Op dit CT-beeld is te zien dat de rechter thoracocenthesekatheter de pleuraholte niet bereikt.

Patiënt C, een vrouw op leeftijd, is betrokken bij een hoogenergetisch ongeval, auto versus auto. Bij aankomst van de ambulance is ze onrustig en aanspreekbaar en spreekt ze korte zinnetjes. Na bevrijding uit de auto wordt ze plat op de brancard snel aan een eerste onderzoek onderworpen. Tijdens dit eerste onderzoek wordt er bij auscultatie van de longen beiderzijds geen ademgeruis gehoord. Hierop wordt beiderzijds een thoracocentese verricht in de tweede intercostaalruimte op de midclaviculairlijn. Dit leidt niet tot klinische verbetering.

Het MMT treft een slachtoffer aan in acute ademnood met paradoxale borstkasbewegingen en een ineffectieve ademhaling. Bij palpatie is er sprake van een instabiele thorax met meerdere ribfracturen en subcutaan emfyseem. Er is sprake van een groot fladdersegment van de thorax. Na sedatie, intubatie en beademing is er beiderzijds ademgeruis. Vóór intubatie waren er geen neurologische afwijkingen. Op een CT-scan van de thorax is er sprake van ernstig thoraxletsel, subcutaan emfyseem met beiderzijds een minimale pneumothorax (supplement 2). Alleen de linker thoracocentesekatheter reikt tot in de pleuraholte (supplement 3).

Beschouwing

De naaldthoracocentese kan een levensreddende eerste behandeling zijn bij patiënten met een spanningspneumothorax. Sinds de introductie van de HOTT-procedure denken artsen en ambulanceverpleegkundigen sneller aan een spanningspneumothorax en worden er meer thoracocenteses uitgevoerd. In de praktijk blijkt echter dat deze behandeling vaak ten onrechte en niet op de juiste plaats wordt verricht, zoals bij de patiënten die wij hiervoor beschreven.

We geven nu eerst wat achtergrondinformatie over de pneumothorax en spanningspneumothorax en beschrijven daarna de juiste indicatie en plaatsing van een thoracocentese. Vervolgens reflecteren we op wat er misging in de door ons beschreven casussen.

Oorzaken van pneumothorax

Een pneumothorax ontstaat als de pleuraholte zich vult met lucht. De negatieve pleurale druk valt weg en de long valt deels of geheel samen. Een pneumothorax kan spontaan of niet-spontaan ontstaan. Niet-spontane pneumothoraxen kunnen het gevolg zijn van thoraxletsel (traumatisch) of een medische handeling (iatrogeen).

Ongeacht de oorzaak kan een pneumothorax zich ontwikkelen tot een spanningspneumothorax; dit gebeurt echter zelden. In een recente studie onder patiënten met een spontane pneumothorax die conservatief werden behandeld, ontwikkelden 3 van de 316 patiënten (0,9%) alsnog een spanningspneumothorax.9 Er zijn geen specifieke getallen voor traumapatiënten. Wel is bekend dat de thoracocentese wordt toegepast bij 0,2-1,7% van patiënten met een traumatische pneumothorax,10,11 waarbij het onduidelijk blijft of er daadwerkelijk sprake was van een spanningspneumothorax.

Klinisch beeld spanningspneumothorax

Patiënten met een ‘gewone’ pneumothorax hebben initieel aspecifieke klachten, zoals pijn, dyspneu of hypoxie. Wanneer er een klepmechanisme ontstaat, kan de lucht in de pleuraholte niet volledig uitgeademd worden. Langzaam hoopt de lucht zich op en ontstaat er een positieve druk in de borstkas, wat leidt tot een spanningspneumothorax. De patiënt wordt daardoor kortademiger, en de ademfrequentie en ademarbeid nemen toe.

Daarnaast leidt de intrathoracale drukverhoging tot een verminderde veneuze return en hypotensie. Het klinisch beeld van een spontaan ademende patiënt met een spanningspneumothorax wordt gekenmerkt door het leveren van een doodstrijd. Daarbij zijn patiënten ernstig kortademig, tachycard en geagiteerd, zitten ze rechtop en spreken ze alle hulpademhalingsspieren aan.

Zolang door deze compensatiemechanismen nog een negatieve intrathoracale druk kan worden bereikt, blijft ventilatie van de gezonde long mogelijk en blijft de veneuze return op gang, waardoor een snelle hemodynamische collaps wordt uitgesteld. Wanneer deze compensatiemechanismen tekortschieten, leidt dat tot respiratoire insufficiëntie, hypotensie en uiteindelijk een cardiaal arrest. Hierbij kan ook het mediastinum naar de contralaterale zijde verplaatsen. De daarbij passende tracheadeviatie wordt in de literatuur beschreven, maar is klinisch zelden goed te voelen.10

Het hierboven beschreven proces noemen we spanningsfysiologie. Dit proces kost tijd. Kenmerkend aan een spanningspneumothorax is dus klinische verslechtering in de loop van de tijd.

Bij beademde patiënten kan een pneumothorax zich door de positieve druk sneller ontwikkelen tot een spanningspneumothorax. Doordat beademde patiënten niet kunnen compenseren bij toenemende kortademigheid en zuurstofbehoefte, treden respiratoire en hemodynamische verslechtering sneller op.12

Indicaties voor naaldthoracocentese

In de literatuur zijn de indicaties voor een thoracocenthese helder: (a) het klinisch beeld van een spanningspneumothorax; of (b) een traumatische reanimatie met afwezigheid van ademgeruis bij adequate beademing.

In de praktijk blijkt het vaak toch lastig om deze indicaties duidelijk vast te stellen, vooral in de hectische omgeving van een traumaopvang. Door drukte op de traumakamer en in de prehospitale omgeving kan de betrouwbaarheid van auscultatie sterk afnemen. Hoogstand van een thoraxhelft wordt prehospitaal vaak gebruikt als indicatie voor een spanningspneumothorax en het uitvoeren van een thoracocentese. In de literatuur is echter geen bewijs voorhanden waarmee dit kan worden onderbouwd. Hoogstand van een thoraxhelft is zelfs een notoir onbetrouwbare waarneming in relatie tot de diagnose ‘spanningspneumothorax’ en is daarom geen indicatie voor een thoracocentese.12,13

De belangrijkste aanwijzingen voor een spanningspneumothorax bij een wakkere patiënt zijn doodsangst, ademnood en paniek. Bij beademde patiënten zijn deze aanwijzingen afwezig; bij hen moet aan de mogelijkheid van een spanningspneumothorax worden gedacht wanneer ze hemodynamisch achteruitgaan.

In de reanimatiesetting pleiten wij voor enige terughoudendheid met het toepassen van een thoracocentese. We adviseren om alleen tot een thoracocentese over te gaan wanneer er aanwijzingen zijn voor een pneumothorax.

Als we terugkijken op de casuïstiek, dan werd bij patiënt A en B ten onrechte een thoracocentese verricht. Patiënt A had beiderzijds ademgeruis, en hoogstand van de thoraxhelft is op zichzelf geen betrouwbare aanwijzing voor een spanningspneumothorax. Bij patiënt B was geen sprake van een reanimatie en waren er geen aanwijzingen voor een pneumothorax. Bij patiënt C was er gezien de acute ademnood, paniek en thoraxletsel een mogelijke indicatie voor thoracocentese. Deze patiënt werd echter niet goed geventileerd door een fladderthorax. Pas wanneer de patiënt wordt beademd en het klinisch beeld niet verbetert, is er een zekere indicatie voor thoracocentese.

Thoracocentese: de procedure

De thoracocentese is een ‘over-de-naald’-techniek waarbij een naald in de aangedane thoraxhelft wordt gebracht. Als de diagnose klopt, ontsnapt lucht via de naald met hoge druk uit de pleuraholte en verbetert het klinisch beeld van de patiënt. De naald wordt verwijderd en de katheter blijft achter.

Bij patiënt A en C werd de thoracocentese geplaatst in de midclaviculairlijn ter hoogte van de tweede intercostaalruimte. Hoewel dit vroeger vaak zo geleerd werd, heeft recent onderzoek laten zien dat naalden via die weg vaak niet in de pleuraholte komen (patiënt B en C). Clemency en collega’s beschreven in een meta-analyse dat een katheterlengte van > 64 mm nodig is om bij 95% van de patiënten de pleuraholte te bereiken.14 The American College of Surgeons adviseert daarom sinds 2018 een laterale benadering in de ‘triangle of safety’.2 Daarbij wordt de naald geplaatst in het gebied tussen de voorste- en midaxillairlijn ter hoogte van de vierde of vijfde intercostaalruimte (figuur 3). Hier is de thoraxwand het dunst bij mensen met een normaal postuur. In kadaverstudies is gebleken dat op die plaats de kans groter is om in de pleuraholte te komen.2,4,5,7,15 Toch blijft het in de literatuur de vraag of deze benadering nu echt beter is.

Figuur 3
Juiste plaats thoracocenthesenaald
Figuur 3 | Juiste plaats thoracocenthesenaald
The American College of Surgeons adviseert om de thoracocenthesenaald te plaatsen in de ‘triangle of safety’ (groene gebied). Daarbij wordt de naald geplaatst tussen voorste axillairlijn en de midaxillairlijn (stippellijnen) ter hoogte van de vierde of vijfde intercostaalruimte. In dit gebied is de thoraxwand het dunst en is de kans het grootst dat de thoracocenthesenaald de pleuraholte bereikt. Vaak wordt de thoracocenthesenaald nog ingebracht op de midclaviculairlijn in de tweede intercostaalruimte (rode gebied); deze benadering wordt momenteel afgeraden.

Het MMT kan ook een vingerthoracostomie verrichten. Daarbij wordt de pleuraholte stomp geopend via een incisie in de laterale thoraxwand van de aangedane zijde ter hoogte van de midaxillairlijn in de derde, vierde of vijfde intercostaalruimte. Hierdoor ontsnapt de overdruk. Deze invasieve ingreep kan complicaties geven.16

Belangrijk is te vermelden dat een thoracocentese een initiële behandeling is, om de druk in de thorax snel te laten dalen en het klinisch beeld te verbeteren. De definitieve behandeling is het plaatsen van een thoraxdrain waarmee de lucht uit de pleuraholte wordt verwijderd.

Naaldthoracocentese; baat het niet dan schaadt het niet?

Naaldthoracocentese is een behandeling voor patiënten met een spanningspneumothorax. Deze invasieve procedure kan complicaties geven. De plaatsing van een thoracocentesenaald zonder goede indicatie kan de patiënt schaden.8,13,17 De belangrijkste complicaties zijn een iatrogene pneumothorax of bloedingen van de a. mammaria of de a. intercostalis, met een hematothorax als gevolg. Letsel van het longparenchym kan ontstaan als er geen pneumothorax aanwezig is. Ook kan er schade worden toegebracht aan abdominale of intrathoracale organen, waaronder het hart, met harttamponnade tot gevolg.

Opvallend blijft dat tot 50% van de geplaatste thoracocentesenaalden de pleuraholte niet bereikt. Oorzaken hiervan zijn een suboptimale anatomische locatie, de insteekhoek en een te korte of afgeknikte katheter.4,5,7,8,13

Beste collega’s, de spanningspneumothorax komt zelden voor. De diagnose blijft moeilijk te stellen, zeker in de prehospitale setting waar de werkomstandigheden verre van ideaal kunnen zijn en de diagnostische hulpmiddelen beperkt zijn. In de literatuur pleiten sommigen daarom zelfs om helemaal te stoppen met het verrichten van thoracocenteses in de prehospitale setting.17 Wij vinden dat echter te kort door de bocht. Plaatsing van een thoracocentesenaald blijft de acute en levensreddende behandeling van een patiënt met een spanningspneumothorax. Ook is reanimatie van een patiënt met spanningspneumothorax zinloos zolang de intrathoracale druk niet wordt verlaagd.

Sinds de introductie van de HOTT-procedure zien wij dat hulpverleners sneller denken aan een spanningspneumothorax en vaker thoracocenteses plaatsen. Momenteel wordt de thoracocentese echter te laagdrempelig verricht. Wij vragen om meer bewustwording over de consequenties van deze procedure bij een onjuiste diagnose. De juiste indicatie en juiste plaatsing van de thoracocentese verdient meer aandacht in het opleidingsprogramma. Wij pleiten ervoor om terughoudend te zijn met de naaldthoracocentese wanneer de symptomen van een spanningspneumothorax ontbreken. Bij spontaan ademende patiënten is zelden sprake van een spanningspneumothorax. Doodsangst, ademnood en paniek zijn misschien wel de belangrijkste aanwijzingen bij een wakkere patiënt. In het geval van een traumatische reanimatie pleiten wij ook voor terughoudendheid; verricht dan alleen een thoracocentese als ademgeruis afwezig is ondanks goede beademing.

Wij hopen dat, dankzij de in dit artikel beschreven casuïstiek en onze overwegingen daarbij, de thoracocentese weer een zeldzame, nuttig toegepaste interventie wordt.

Literatuur
  1. Koers L, van Schuppen JL, Viersen VA, Kooij FO, Goslings JC, Hollmann MW. Reanimatie na trauma. Ned Tijdschr Geneeskd. 2017;161:D1174. Medline
  2. Henry S. ATLS 10th edition offers new insights into managing trauma patients. Bulletin American College of Surgeons. 2018;3(6):15.
  3. Muchnok D, Vargo A, Deeb AP, Guyette FX, Brown JB. Association of prehospital needle decompression with mortality among injured patients requiring emergency chest decompression. JAMA Surg. 2022;157(10):934-940. doi:10.1001/jamasurg.2022.3552. Medline
  4. Osterman J, Kay AB, Morris DS, Evertson S, Brunt T, Majercik S. Prehospital decompression of tension pneumothorax: Have we moved the needle? Am J Surg. 2022;224(6):1460-1463. doi:10.1016/j.amjsurg.2022.09.014. Medline
  5. Kaserer A, Stein P, Simmen H-P, Spahn DR, Neuhaus V. Failure rate of prehospital chest decompression after severe thoracic trauma. Am J Emerg Med. 2017;35(3):469-474. doi:10.1016/j.ajem.2016.11.057. Medline
  6. Blaivas M. Inadequate needle thoracostomy rate in the prehospital setting for presumed pneumothorax: an ultrasound study. J Ultrasound Med. 2010;29(9):1285-1289. doi:10.7863/jum.2010.29.9.1285. Medline
  7. Wernick B, Hon HH, Mubang RN, et al. Complications of needle thoracostomy: A comprehensive clinical review. Int J Crit Illn Inj Sci. 2015;5(3):160-169. doi:10.4103/2229-5151.164939. Medline
  8. Travis HJ, Andry GV, Rutner CC, et al. Prehospital needle decompression of suspected tension pneumothorax: outcomes and consequences. Am Surg. 2024;90(8):2124-2126; Online ahead of print. doi:10.1177/00031348241241739. Medline
  9. Brown SGA, Ball EL, Perrin K, et al; PSP Investigators. Conservative versus interventional treatment for spontaneous pneumothorax. N Engl J Med. 2020;382(5):405-415. doi:10.1056/NEJMoa1910775. Medline
  10. Eckstein M, Suyehara D. Needle thoracostomy in the prehospital setting. Prehosp Emerg Care. 1998;2(2):132-135. doi:10.1080/10903129808958857. Medline
  11. Warner KJ, Copass MK, Bulger EM. Paramedic use of needle thoracostomy in the prehospital environment. Prehosp Emerg Care. 2008;12(2):162-168. doi:10.1080/10903120801907299. Medline
  12. Roberts DJ, Leigh-Smith S, Faris PD, et al. Clinical presentation of patients with tension pneumothorax: A systematic review. Ann Surg. 2015;261(6):1068-1078. doi:10.1097/SLA.0000000000001073. Medline
  13. Fitzgerald M, Mackenzie CF, Marasco S, Hoyle R, Kossmann T. Pleural decompression and drainage during trauma reception and resuscitation. Injury. 2008;39(1):9-20. doi:10.1016/j.injury.2007.07.021. Medline
  14. Clemency BM, Tanski CT, Rosenberg M, May PR, Consiglio JD, Lindstrom HA. Sufficient catheter length for pneumothorax needle decompression: a meta-analysis. Prehosp Disaster Med. 2015;30(3):249-253. doi:10.1017/S1049023X15004653. Medline
  15. Azizi N, Ter Avest E, Hoek AE, et al; PRIDE consortium. Optimal anatomical location for needle chest decompression for tension pneumothorax: A multicenter prospective cohort study. Injury. 2020;52(2):213-218. doi:10.1016/j.injury.2020.10.068. Medline
  16. Aylwin CJ, Brohi K, Davies GD, Walsh MS. Pre-hospital and in-hospital thoracostomy: indications and complications. Ann R Coll Surg Engl. 2008;90(1):54-57. doi:10.1308/003588408X242286. Medline
  17. Cullinane DC, Morris JA Jr, Bass JG, Rutherford EJ. Needle thoracostomy may not be indicated in the trauma patient. Injury. 2001;32(10):749-752. doi:10.1016/S0020-1383(01)00082-1. Medline
Auteursinformatie

Radboudumc afd. Anesthesiologie, Pijnbestrijding en Palliatieve Geneeskunde, Nijmegen: drs. M.S. Frijlink, dr. G.J. van Geffen en dr. C. Slagt, anesthesiologen en MMT-artsen Lifeliner 3; F.L. Coumou, Y. Houben en C. Verrips, MMT-verpleegkundigen Lifeliner 3.

Contact C. Slagt (cor.slagt@radboudumc.nl)

Belangenverstrengeling

Belangenconflict en financiële ondersteuning: geen gemeld.

Auteur Belangenverstrengeling
Maartje S. Frijlink ICMJE-formulier
Freek L. Coumou ICMJE-formulier
Yvonne Houben ICMJE-formulier
Corien Verrips ICMJE-formulier
Geert-Jan van Geffen ICMJE-formulier
Cornelis Slagt ICMJE-formulier
Informatiekader
Dit artikel wordt besproken in#52 Meer onderzoek nodig?
Heb je nog vragen na het lezen van dit artikel?
Check onze AI-tool en verbaas je over de antwoorden.
ASK NTVG

Ook interessant

Reacties