Mis het Lisfranc-letsel niet

Röntgen van voet
Abstract
Jesse D. De Groot
Boudewijn L. Reichmann
Wouter A. Ten Cate
Downloaden
Citeren

Samenvatting

Achtergrond

Het Lisfranc-letsel is relatief zeldzaam en gaat vaak gepaard met subtiele klinische en radiologische afwijkingen. Hierdoor wordt 20-50% van deze letsels aanvankelijk gemist. Een gemiste diagnose verhoogt het risico op posttraumatische artrose.

Casus

Wij zagen een 51-jarige man op de polikliniek Heelkunde met een plantair hematoom en het onvermogen om de rechter voet te belasten. Drie weken eerder was hij gestruikeld. Toen hij daarna bij de huisartsenpost kwam, was de werkdiagnose ‘contusie, dan wel bandletsel van de voet of enkel’. Nadat wij een aanvullende CT-scan van de voet hadden verricht, stelden wij de diagnose ‘Lisfranc-letsel’. We duidden het letsel als stabiel en behandelden de patiënt conservatief. Twaalf weken na het trauma ervoer de patiënt nog altijd pijnklachten en was hij ontevreden over het beloop.

Conclusie

Het is belangrijk de diagnose ‘Lisfranc-letsel’ tijdig te stellen, zodat adequate therapie direct kan worden ingezet. Dat geeft de gunstigste prognose. Bij een patiënt met het onvermogen de voet te belasten en een plantair hematoom moet altijd aan een Lisfranc-letsel worden gedacht.

Kernpunten
  • Denk aan een Lisfranc-letsel bij het onvermogen de voet te belasten en een plantair hematoom.
  • Instabiliteit van de middenvoet is het best te beoordelen aan de hand van röntgenfoto’s waarbij de voet wordt belast.
  • Het ‘Fleck sign’ en het ‘gap sign’ op de röntgenfoto zijn pathognomonisch voor een Lisfranc-letsel.
  • Een aanvullende CT-scan van de voet moet laagdrempelig worden verricht.
  • Tijdige diagnose en behandeling verbetert de prognose.

artikel

Het gewricht van Lisfranc is het gewricht tussen de middenvoet en de voorvoet (figuur 1). Circa 0,2% van alle fracturen betreft een letsel van dit gewricht. Het zogenoemde Lisfranc-letsel heeft een incidentie van 1 op de 55.000 mensen per jaar.1 Door de complexiteit van het gewricht, de subtiliteit van het letsel, de verschillen in de gebruikte beeldvormingstechnieken en een gebrek aan kennis bij de behandelaar, wordt 20-50% van deze letsels initieel gemist.2 Wanneer de diagnose te laat wordt gesteld, kan de behandeling tekortschieten, met een slechte prognose tot gevolg. Om die reden is het van groot belang dat artsen dit letsel kennen en weten met welke onderzoeken de diagnose het best gesteld kan worden.

Figuur 1
Anatomie van het Lisfranc-gewricht
Figuur 1 | Anatomie van het Lisfranc-gewricht
Het Lisfranc-gewricht is het gewricht tussen de basis van metatarsalia (MT-)I-V en het os cuneiforme mediale (C1), os cuneiforme intermedium (C2) en os cuneiforme laterale (C3) en het os cuboideum. Het gewricht kan worden opgedeeld in drie functionele pijlers: mediaal, centraal en lateraal. Het heeft ossale stabiliteit doordat de basis van MT-I tot en met -V in het frontale vlak samen een ‘romeinse boog’ vormen (dwarsgewelf), waarbij de basis van MT-II dient als hoeksteen. Verder ontleent het gewricht stabiliteit aan de sterke ligamenten die de tarsometatarsale, intermetatarsale en intercuneiforme gewrichten overspannen, waarvan de plantair gelegen ligamenten de sterkste verbindingen vormen. Hoewel er ligamentaire verbindingen lopen tussen de basis van MT-II tot en met -V, ontbreekt deze verbinding tussen basis van MT-I en -II. Het Lisfranc-ligament, dat een sterke verbinding vormt tussen os cuneiforme mediale en de basis van MT-II – plantair ook met de basis van MT-III –, is een van de belangrijkste stabilisatoren van de middenvoet. Letsel van dit ligament leidt veelal tot instabiliteit tussen de mediale en centrale pijler. Dit kan leiden tot deformiteit wanneer het dwarsgewelf van de voet inzakt.

Ziektegeschiedenis

Patiënt A, een 51-jarige man zonder relevante voorgeschiedenis of medicatiegebruik, kwam op de huisartsenpost vanwege pijn en zwelling van de rechter voet en enkel nadat hij was gestruikeld. Hij kon niet meer op de voet staan en er was sprake van hematoomvorming. Vanwege de hevige pijnklachten werd het bewegingsonderzoek niet uitgevoerd. Differentiaaldiagnostisch dacht de dienstdoende huisarts aan een fractuur, een contusie of een bandletsel van de rechter voet of enkel. Er werden röntgenopnames gemaakt van de rechter voet en enkel bij de patiënt in liggende houding. De vraagstelling bij de röntgenfoto’s was: ‘fractuur?’. De radioloog beschreef in zijn verslag dat er geen fracturen zichtbaar waren. Op basis van de werkdiagnose ‘contusie of bandletsel’ zette de huisarts een conservatieve behandeling in met adviezen voor de houding en pijnstilling.

In de twee weken daarna hielden de klachten aan. Doordat de eigen huisarts afwezig was, werd de patiënt een week later pas verwezen naar de polikliniek Heelkunde. Aldaar zagen wij een patiënt met zwelling van de rechter voet, meest uitgesproken op de middenvoet. Tevens was er sprake van een plantair hematoom. Dwarse compressie van de metatarsofalangeale (MTP-)gewrichten en passieve pronatie of abductie van de voorvoet veroorzaakte pijn in de middenvoet. Instabiliteit van de middenvoet konden we echter niet objectiveren. Vanwege de symptomen en het klinisch beeld stond een Lisfranc-letsel hoog in onze differentiaaldiagnose. De recente röntgenfoto’s van de rechter voet werden opnieuw beoordeeld, waarbij fractuurfragmenten werden gezien tussen het os cuneiforme mediale (C1) en de basis van os metatarsale (MT-)II (figuur 2). Er werd een aanvullende CT-scan van de rechter voet gepland. In afwachting van de CT-scan kreeg de patiënt een onderbeengips om de zwelling te verminderen.

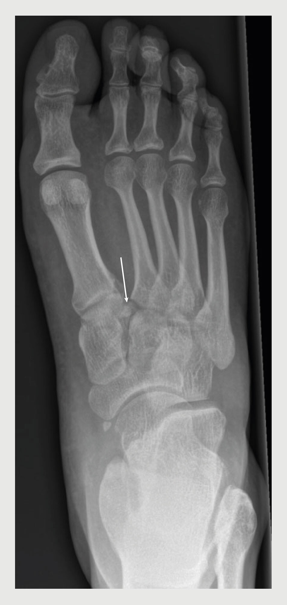
Figuur 2
Röntgenfoto van voet van de patiënt
Figuur 2 | Röntgenfoto van voet van de patiënt
Anteroposterieure röntgenfoto van de rechter voet van een 51-jarige man met pijn en zwelling van de voet nadat hij was gestruikeld. Er zijn fractuurfragmenten zichtbaar tussen de basis van os metatarsale II en het os cuneiforme mediale, ook wel het teken van Fleck genoemd (‘Fleck sign’; zie pijl).

De CT-scan liet een week later een subtiel en stabiel Lisfranc-letsel zien met meerdere avulsiefracturen van de drie ossa cuneiformia (C1-3) en de basis van metatarsalia I-IV. Vier weken na het trauma stelden wij de definitieve diagnose ‘Lisfranc-letsel’. Ondanks de uitgebreidheid van het letsel waren alle fracturen enkelvoudig en stabiel. Om die reden besloten wij om de conservatieve behandeling voort te zetten met een onderbeengips gedurende nog eens twee weken (tot zes weken na het trauma); de patiënt mocht de voet tijdens die periode niet belasten. Daarna mocht de patiënt de belasting langzaam opbouwen met het onderbeen in een semi-rigide brace (‘airwalker’).

Zes weken na het trauma verrichtten wij nieuwe röntgenfoto’s van de voet, dit keer met de patiënt in staande positie. De röntgenfoto’s lieten geen instabiliteit van de middenvoet zien. Twaalf weken na het trauma was de patiënt nog altijd niet volledig pijnvrij. Hij sprak veel onvrede uit over het resultaat van de behandeling. Het teleurstellende resultaat lag volgens hem aan het feit dat de diagnose aanvankelijk was gemist.

Beschouwing

Patiënten met een Lisfranc-letsel hebben vaak pijn en zwelling van de middenvoet na een trauma; ook kunnen ze de voet vaak niet of nauwelijks belasten.1 Plantaire hematoomvorming is suggestief voor een letsel van de middenvoet (figuur 3). Bij een plantair hematoom moet men daarom altijd bedacht zijn op een letsel van het Lisfranc-gewricht. Met bewegingsonderzoek kan soms duidelijk worden aangetoond of het Lisfranc-letsel leidt tot instabiliteit van de middenvoet, maar direct na het trauma is dit onderzoek niet altijd goed uitvoerbaar vanwege hevige pijn.

Bij onze patiënt werden meerdere aanwijzingen voor Lisfranc-letsel niet genoemd bij de aanvraag van het röntgenonderzoek. Deze informatie had de radioloog kunnen attenderen op de middenvoet, waardoor de diagnose mogelijk wel tijdig was gesteld.

Figuur 3
Plantair hematoom
Figuur 3 | Plantair hematoom
Foto van de plantaire zijde van de linker voet van een patiënt met een Lisfrac-letsel.3 Er is een plantair hematoom zichtbaar. Dit beeld is pathognomonisch voor het Lisfranc-letsel.

Pathofysiologie

Een Lisfranc-letsel kan ontstaan door een direct trauma, zoals een crush-letsel of verkeersongeval, of door indirect trauma, zoals bij struikelen. Een indirect traumamechanisme komt het vaakst voor.1 Meestal vindt daarbij een acute en overmatige abductie van de voorvoet plaats met relatieve fixatie van de hiel, zoals bij wind- of kitesurfen. Ook kan het letsel ontstaan door een axiale belasting op de voet terwijl die in plantairflexie wordt gehouden, zoals bij contactsport, hardlopen of bij een val van een paard waarbij de voet in de stijgbeugel blijft zitten.

Zowel de ossale als de ligamentaire structuren van het gewricht kunnen zijn aangedaan; letsel van uitsluitend bot of ligamenten komt zelden voor. Risicofactoren zijn het mannelijk geslacht, diabetes mellitus en sportbeoefening.

Diagnostiek

Bij alle patiënten met een vermoedelijk Lisfranc-letsel moeten standaard röntgenfoto’s van de voet worden gemaakt in 3 richtingen. Deze foto’s moeten worden beoordeeld op aanwijzingen voor instabiliteit van de middenvoet en aanwezigheid van fracturen.3 Idealiter worden röntgenopnames gemaakt terwijl de patiënt de voet belast, zodat de instabiliteit goed te beoordelen is. In de praktijk gebeurt dit vaak niet vanwege het feit dat de patiënt de voet niet kan belasten.

Hoewel fractuurdislocatie onmiskenbaar is op standaard röntgenfoto’s, is subtiel ossaal of ligamentair letsel vaak minder evident. Avulsiefragmenten van C1 of van de basis van MT-II, oftewel het ‘Fleck sign’, en diastase tussen de basis van MT-I en -II, ook wel ‘gap sign’ genoemd, zijn pathognomonisch voor een Lisfranc-letsel. Wees verder bedacht op een Lisfranc-letsel wanneer er sprake is van ander ossaal letsel rond het tarsometatarsale gewricht.

Een aanvullende CT-scan van de voet kan uitkomst bieden wanneer de standaard röntgenfoto’s geen Lisfranc-letsel laten zien, maar er wel een klinische verdenking blijft bestaan. Met een CT-scan kunnen niet-verplaatste fracturen en subtiele standsafwijkingen (‘malalignment’) beter worden gedetecteerd.3 Een MRI-scan kan van meerwaarde zijn bij het vermoeden van hoofdzakelijk ligamentair letsel.3

Behandeling

Met name instabiliteit van het Lisfranc-gewricht is bepalend voor de behandeling.4 Bij stabiel letsel zijn de uitkomsten van conservatieve behandeling vergelijkbaar met die van operatieve behandeling. De conservatieve behandeling bestaat uit zes tot twaalf weken immobilisatie in een onderbeengips; gedurende die periode mag de voet niet worden belast. Tussentijds worden röntgenfoto’s gemaakt waarbij de voet wel wordt belast.

Bij instabiel letsel heeft operatieve behandeling de voorkeur. Daarbij wordt de mediale pijler van het Lisfranc-gewricht vastgezet met een plaat of schroeven, terwijl de laterale pijler mobiel gelaten wordt. De nabehandeling bestaat uit zes tot acht weken onbelast mobiliseren in een onderbeengips.

Prognose

Een Lisfranc-letsel kan gepaard gaan met het compartimentsyndroom van de voet. Deze ernstige complicatie moet altijd worden uitgesloten bij de eerste presentatie aan de hand van het neurovasculaire onderzoek.7

Na een Lisfranc-letsel treedt vaak posttraumatische artrose op, zelfs bij adequate behandeling.5 Het risico hierop is echter hoger wanneer de behandeling niet tijdig plaatsvindt, met name bij subtiele letsels, zoals bij onze patiënt.6 Vanwege het risico op deze complicaties is het van groot belang dat de diagnose tijdig gesteld wordt.

Conclusie

Het Lisfranc-letsel wordt vaak gemist. Wanneer de diagnose niet tijdig wordt gesteld, kan de behandeling tekortschieten, wat gepaard gaat met een slechtere prognose. Wees bedacht op een Lisfranc-letsel bij zwelling van de middenvoet en een plantair hematoom, het onvermogen de voet te belasten en een traumamechanisme met overmatige abductie of plantairflexie van de voorvoet. Verricht bij het vermoeden van een Lisfranc-letsel altijd belaste röntgenopnames van de voet, met eventueel een aanvullende CT-scan. De mate van instabiliteit is grotendeels bepalend voor het beleid.

Literatuur
  1. Yan A, Chen SR, Ma X, Shi Z, Hogan M. Updates on Lisfranc complex injuries. Foot Ankle Orthop. 2021;6:2473011420982275. doi:10.1177/2473011420982275. Medline
  2. Pinto A, Berritto D, Russo A, et al. Traumatic fractures in adults: missed diagnosis on plain radiographs in the Emergency Department. Acta Biomed. 2018;89:111-23. doi:10.23750/abm.v89i1-S.7015. Medline.
  3. Siddiqui NA, Galizia MS, Almusa E, Omar IM. Evaluation of the tarsometatarsal joint using conventional radiography, CT, and MR imaging. Radiographics. 2014;34:514-31. doi:10.1148/rg.342125215. Medline
  4. Moracia-Ochagavía I, Rodríguez-Merchán EC. Lisfranc fracture-dislocations: current management. EFORT Open Rev. 2019;4:430-44. doi:10.1302/2058-5241.4.180076. Medline
  5. Philbin T, Rosenberg G, Sferra JJ. Complications of missed or untreated Lisfranc injuries. Foot Ankle Clin. 2003;8:61-71. doi:10.1016/S1083-7515(03)00003-2. Medline
  6. Tarczyńska M, Gawęda K, Dajewski Z, Kowalska E, Gągała J. Comparison of treatment results of acute and late injuries of the lisfranc joint. Acta Ortop Bras. 2013;216:344-6. doi:10.1590/S1413-78522013000600010. Medline.
  7. Tillinghast CM, Gary JL. Compartment syndrome of the lower extremity. 2019. In: Mauffrey C, Hak DJ, Martin III MP, red. Compartment syndrome: a guide to diagnosis and management. Cham: Springer; 2019. doi:10.1007/978-3-030-22331-1
Auteursinformatie

Contact W.A. Ten Cate (w.tcate@zgt.nl)

Belangenverstrengeling

Belangenconflict en financiële ondersteuning: ICMJE-formulieren met de belangenverklaring van de auteurs zijn online beschikbaar bij dit artikel.

Auteur Belangenverstrengeling
Jesse D. De Groot ICMJE-formulier
Boudewijn L. Reichmann ICMJE-formulier
Wouter A. Ten Cate ICMJE-formulier

Ook interessant

Reacties