Hersentumor grotere impact op naasten van patiënt

Hersentumor grotere impact op naasten van patiënt
Lucas Mevius

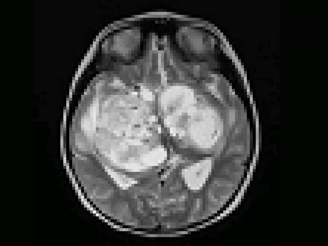
Partners, familie en vrienden van patiënten met een zeer kwaadaardige hersentumor lopen een hoger risico op een verminderde levenskwaliteit dan naasten van patiënten met een andersoortige maligniteit met een vergelijkbare levensverwachting. Dat staat in Journal of Neuro-Oncology (2013; epub 4 juli).

‘De diagnose, het ziekteverloop en de behandeling…

Heb je nog vragen na het lezen van dit artikel?
Check onze AI-tool en verbaas je over de antwoorden.
ASK NTVG

Ook interessant

Reacties