Hersenscan als leugendetector

Nieuws
F. Kievits
M.T. Adriaanse

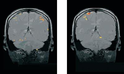
Hersenscans laten duidelijk verschil zien als iemand liegt of de waarheid spreekt, zo blijkt uit een voordracht op het jaarsymposium van de Radiological Society of North America dat begin december 2004 in Chicago werd gehouden.

Het onderzoek werd uitgevoerd met behulp van functionele MRI (fMRI). Dit is een gewone MRI…

Heb je nog vragen na het lezen van dit artikel?
Check onze AI-tool en verbaas je over de antwoorden.
ASK NTVG

Ook interessant

Reacties