Een sluimerend beloop van een antiglomerulaire-basaalmembraanglomerulonefritis

Glomerulaire hematurie

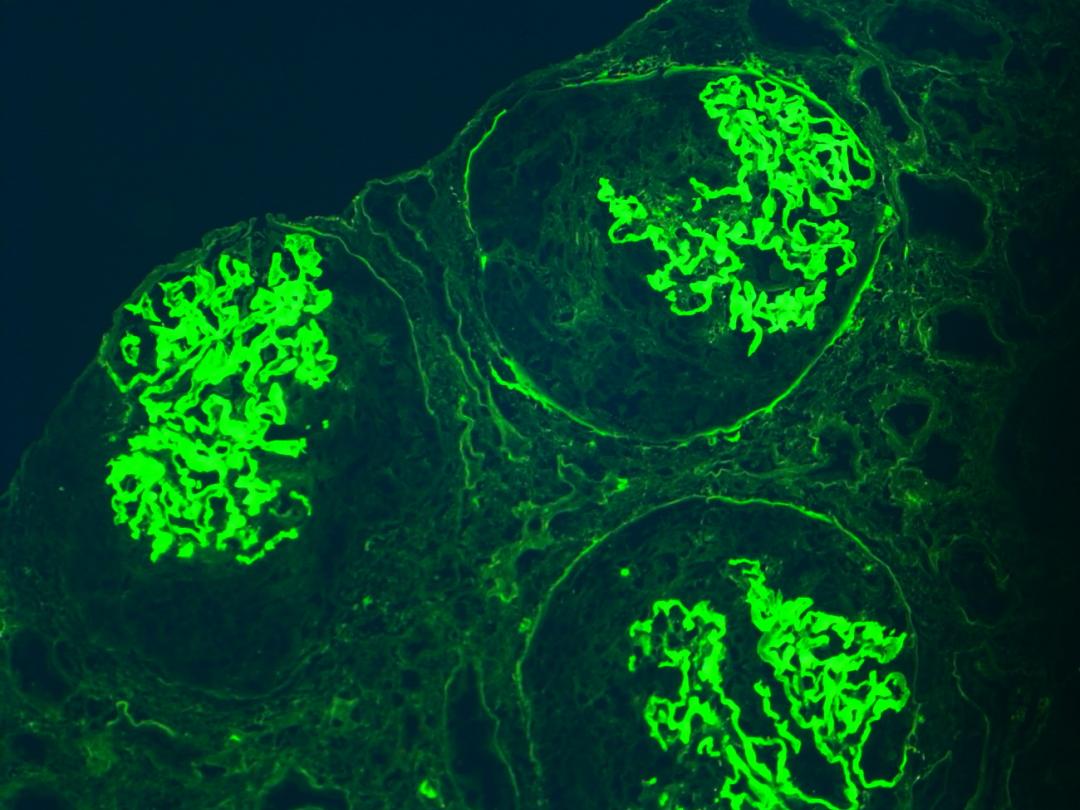
Drie glomeruli zichtbaar in immunofluorescentie-onderzoek.
Abstract
Jan-Willem Balder
Bastiaan A. Blok
Esther Meijer
Casper Franssen
Peter T. Luik
Hilde H.F. Remmelts

Samenvatting

Achtergrond

Hematurie kan van urologische origine zijn, maar dysmorfie van de erythrocyten in het urinesediment wijst op een glomerulaire ziekte. Glomerulaire hematurie kan geïsoleerd voorkomen of gepaard gaan met klachten van een systeemziekte, proteïnurie of nierfunctiestoornissen. Deze factoren bepalen de differentiaaldiagnose die varieert van een relatief onschuldige IgA-nefropathie tot een fatale antiglomerulaire-basaalmembraanglomerulonefritis (anti-GBM-nefritis).

Casus

Een 30-jarige patiënt werd poliklinisch gecontroleerd door de nefroloog vanwege een glomerulaire hematurie bij de werkdiagnose ‘IgA-nefropathie’. Na 3 maanden kwam patiënt op de SEH met een ernstige acute nierinsufficiëntie door een anti-GBM-nefritis. Achteraf bleek dat de anti-GBM-titer al tijdens het poliklinische traject aantoonbaar was geweest, maar vanwege de behouden nierfunctie stond anti-GBM-nefritis niet in de aanvankelijke differentiaaldiagnose.

Conclusie

Glomerulaire hematurie met een behouden nierfunctie kan in een zeldzaam geval ook een uiting zijn van een sluimerende anti-GBM-nefritis. Door de controle van de nierfunctie en laagdrempelige uitvoering van immunologische diagnostiek of een nierbiopt kan een anti-GBM-nefritis vroegtijdig worden opgespoord.

Auteursinformatie

Meander Medisch Centrum, afd. Interne Geneeskunde, Amersfoort: dr. J. Balder, aios cardiologie; dr. B.A. Blok, aios interne geneeskunde; dr. P.T. Luik en dr. H.H.F. Remmelts, internisten-nefrologen. UMCG, afd. Interne Geneeskunde, Groningen: dr. E. Meijer en dr. C. Franssen, internisten-nefrologen.

Contact J. Balder (j.balder@meandermc.nl)

Belangenverstrengeling

Belangenconflict en financiële ondersteuning: geen gemeld.

Auteur Belangenverstrengeling
Jan-Willem Balder ICMJE-formulier
Bastiaan A. Blok ICMJE-formulier
Esther Meijer ICMJE-formulier
Casper Franssen ICMJE-formulier
Peter T. Luik ICMJE-formulier
Hilde H.F. Remmelts ICMJE-formulier
Dit artikel is gepubliceerd in het dossier
Huisartsgeneeskunde
Heb je nog vragen na het lezen van dit artikel?
Check onze AI-tool en verbaas je over de antwoorden.
ASK NTVG

Ook interessant

Reacties