Een vrouw met ischemische klachten van ogen en arm

Wat is de diagnose?
Abstract
Remy H.H. Bemelmans
Jos N. Hoes
Marnix G.E.H. Lam

Casus

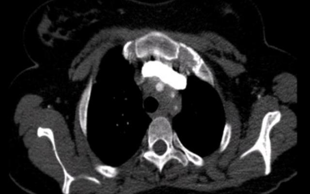
Een 23-jarige vrouw kwam op de polikliniek Interne Geneeskunde. Wegens een toename in de frequentie van haar migraine-aanvallen sinds 6 maanden had de huisarts een bètablokker voorgeschreven. Vervolgens had patiënte klachten gekregen van duizeligheid en zwarte vlekken voor haar ogen bij opstaan uit zittende of liggende houding, na fysieke inspanning en bij overgang van koud naar warm. Verder had zij last van tintelingen en een witte verkleuring van de vingers van de linkerhand bij blootstelling aan koude. Eenmalig had zij een kortdurende woordvindstoornis. Patiënte was met de bètablokker gestopt en gebruikte nu alleen de anticonceptiepil. De pulsaties van de…

Auteursinformatie

Ziekenhuis Gelderse Vallei, afd. Interne Geneeskunde, Ede.

Dr. R.H.H. Bemelmans, internist-vasculair geneeskundige.

Universitair Medisch Centrum Utrecht, Utrecht.

Afd. Reumatologie en Klinische Immunologie: dr. J.N. Hoes, reumatoloog in opleiding.

Afd. Radiologie en Nucleaire Geneeskunde: dr. M.G.E.H. Lam, nucleair geneeskundige.

Contact dr. R.H.H. Bemelmans

Belangenverstrengeling

Belangenconflict en financiële ondersteuning: geen gemeld.

Auteur Belangenverstrengeling
Remy H.H. Bemelmans ICMJE-formulier
Jos N. Hoes ICMJE-formulier
Marnix G.E.H. Lam ICMJE-formulier
Heb je nog vragen na het lezen van dit artikel?
Check onze AI-tool en verbaas je over de antwoorden.
ASK NTVG

Ook interessant

Reacties

Gratis Ask NTVG uitproberen?

Maak met 2 klikken een gratis account aan

Account aanmaken

Heb je al een account of een abonnement? Inloggen

Altijd toegang tot alle publicaties van het NTVG?

Abonneer vandaag nog!

Online toegang tot alle artikelen
Gepersonaliseerde alerts voor artikelen en dossiers
Artikelen voor opleiding en nascholing mét geaccrediteerde toetsen
Onbeperkt luisteren naar de NTVG-podcast
Antwoorden op al je vragen via de AI-toepassing 'Ask NTVG'

Neem het digitaal ntvg abonnement

€ 15,93 per maand!

Ik wil digitaal
NTVG nummer 2 2026
NTVG nummer 3 2026
NTVG nummer 4 2026