Een vrouw met een pijnlijke elleboog

Wat is de diagnose?
Abstract
Anne D. van der Made
Mario Maas

Casus

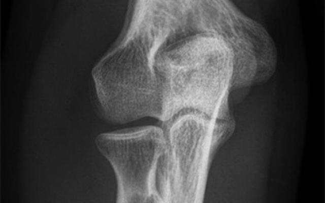
Een 27-jarige vrouw kwam naar de Spoedeisende Hulp vanwege een pijnlijke rechter elleboog nadat zij met haar racefiets was gevallen. Bij lichamelijk onderzoek zagen wij een laceratie aan de posterolaterale zijde van de elleboog en was het olecranon drukpijnlijk. De röntgenfoto’s toonden geen fractuur, maar wel een radiolucentie in de tuberositas radii (figuur a en b). Vanwege het grote aantal kankerpatiënten dat wij in ons oncologisch verwijzingscentrum zien, lieten wij aanvullend een MRI-scan maken. Deze toonde niet-afwijkend, vetrijk beenmerg op de plaats waar wij eerder de radiolucentie hadden gezien; de ‘afwijking’ op de röntgenfoto betrof dus een zogenoemde pseudolaesie…

Auteursinformatie

Amsterdam UMC, locatie AMC-UvA. Afd. Orthopedie, Amsterdam Movement Sciences: drs. A.D. van der Made, arts-onderzoeker (tevens: ACES en ACHSS). Afd. Radiologie: prof.dr. M. Maas, radioloog (tevens: ACES en ACHSS).

Contact Contact A.D. van der Made (a.d.vandermade@amc.uva.nl)

Belangenverstrengeling

Belangenconflict en financiële ondersteuning: geen gemeld.

Auteur Belangenverstrengeling
Anne D. van der Made ICMJE-formulier
Mario Maas ICMJE-formulier
Heb je nog vragen na het lezen van dit artikel?
Check onze AI-tool en verbaas je over de antwoorden.
ASK NTVG

Ook interessant

Reacties