Een vrouw met dyspneu en een huidafwijking

Wat is de diagnose?
Abstract
Lisa M. Verheul
Hans A. Hardeman

Casus

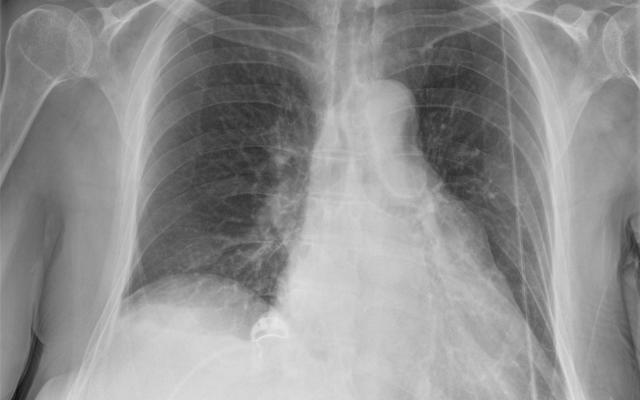
Een 74-jarige vrouw, bekend met astma en hartfalen, werd verwezen naar de Eerste Harthulp vanwege progressieve dyspneu sinds 3 weken. Deze dyspneu begon tijdens inspanning maar was inmiddels ook in rust en bij platliggen aanwezig. Het gewicht was onveranderd. Voorafgaand aan deze klachten had zij herpes zoster rechts op de thorax en in de nek ontwikkeld. Bij lichamelijk onderzoek zagen wij uitgebreide afwijkingen van de huid ter plaatse van dermatoom C4-C5 (figuur a), passend bij herpes zoster. Bij auscultatie hoorden we verminderd ademgeruis rechts basaal en licht expiratoir piepen. Oriënterend neurologisch onderzoek was niet afwijkend. Beweging van de arm…

Auteursinformatie

St. Antonius Ziekenhuis, afd. Longgeneeskunde, Utrecht: drs. L.M. Verheul, anios; drs. J.A. Hardeman, longarts.

Contact L.M. Verheul (l.verheul@antoniusziekenhuis.nl)

Belangenverstrengeling

Belangenconflict en financiële ondersteuning: geen gemeld.

Auteur Belangenverstrengeling
Lisa M. Verheul ICMJE-formulier
Hans A. Hardeman ICMJE-formulier
Anita Visser
Dit artikel is gepubliceerd in het dossier
Huisartsgeneeskunde
Heb je nog vragen na het lezen van dit artikel?
Check onze AI-tool en verbaas je over de antwoorden.
ASK NTVG

Ook interessant

Reacties