Een turnster met pijnlijke polsen

Wat is de diagnose?
Abstract
Bart Lubberts
Diederik T.D. Oei
Robin E. Westerbeek

Casus

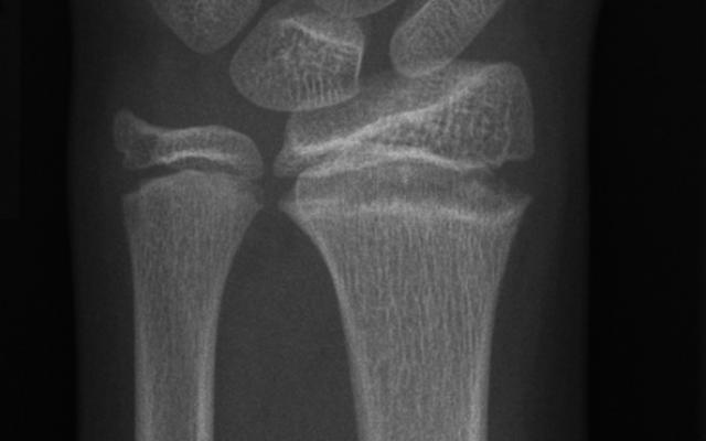
Een 11-jarige turnster kwam op de polikliniek Sportgeneeskunde met pijn aan beide polsen die sinds 1 jaar bestond. Patiënte vertelde dat de pijn tijdens en na elke training optrad. Anamnestisch was er geen evident trauma bekend. Bij lichamelijk onderzoek zagen wij een niet-afwijkende stand van de polsen, zonder zwellingen of bewegingsbeperkingen. Als de polsen in de eindstanden van dorsale en palmaire flexie werden bewogen, was dit rondom de gehele pols gevoelig. Alle weerstandstesten waren positief, maar de kracht was niet verminderd. Een röntgenfoto van de linker pols toonde een verwijding van de epifysairschijven en onregelmatige contouren van de metafysen…

Auteursinformatie

Deventer Ziekenhuis, afd. Radiologie, Deventer.

B. Lubberts, coassistent; drs. R.E. Westerbeek, radioloog.

Sportmedisch Centrum Papendal, Arnhem.

Drs. D.T.D Oei, sportarts.

Contact drs. R.E. Westerbeek (r.westerbeek@dz.nl)

Verantwoording

Belangenconflict en financiële ondersteuning: geen gemeld.
Aanvaard op 14 april 2013

Auteur Belangenverstrengeling
Bart Lubberts ICMJE-formulier
Diederik T.D. Oei ICMJE-formulier
Robin E. Westerbeek ICMJE-formulier
Heb je nog vragen na het lezen van dit artikel?
Check onze AI-tool en verbaas je over de antwoorden.
ASK NTVG

Ook interessant

Reacties

Gratis Ask NTVG uitproberen?

Maak met 2 klikken een gratis account aan

Account aanmaken

Heb je al een account of een abonnement? Inloggen

Altijd toegang tot alle publicaties van het NTVG?

Abonneer vandaag nog!

Online toegang tot alle artikelen
Gepersonaliseerde alerts voor artikelen en dossiers
Artikelen voor opleiding en nascholing mét geaccrediteerde toetsen
Onbeperkt luisteren naar de NTVG-podcast
Antwoorden op al je vragen via de AI-toepassing 'Ask NTVG'

Neem het digitaal ntvg abonnement

€ 15,93 per maand!

Ik wil digitaal
NTVG nummer 2 2026
NTVG nummer 3 2026
NTVG nummer 4 2026