Een pijnlijke, gezwollen pols na een val van de fiets

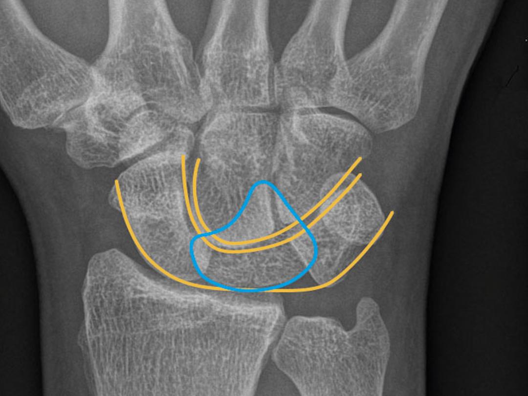
Röntgenfoto van de pols.
Abstract
A.M.R. (Ton) Raaijmaakers
Robert J.L.L. van de Kimmenade
Reinder J. Wolvius

Casus

Een 57-jarige man werd 5 dagen na een val van de fiets door de huisarts verwezen naar de SEH vanwege aanhoudende, progressieve pijn van de rechter pols. Direct na de val had patiënt de huisartsenpost bezocht, alwaar de diagnose ‘distorsie’ was gesteld. Bij lichamelijk onderzoek zagen wij zwelling van de pols aan de volaire zijde. Patiënt kon de pols beperkt bewegen en ervoer drukpijn aan de volaire zijde. Ook was er sprake van pijn en tintelingen in de duim, wijsvinger en middelvinger en aan de mediale zijde van de ringvinger, passend bij compressie van de N. medianus. Op de…

Auteursinformatie

Tergooi, afd. Orthopedie, Hilversum: drs. A.M.R. Raaijmaakers, basisarts; drs. R.J.L.L. van de Kimmenade, orthopedisch chirurg in opleiding; drs. R.J. Wolvius, orthopedisch chirurg.

Contact A.M.R. Raaijmaakers (amr.raaijmaakers@gmail.com)

Belangenverstrengeling

Belangenconflict en financiële ondersteuning: geen gemeld.

Auteur Belangenverstrengeling
A.M.R. (Ton) Raaijmaakers ICMJE-formulier
Robert J.L.L. van de Kimmenade ICMJE-formulier
Reinder J. Wolvius ICMJE-formulier
Dit artikel is gepubliceerd in het dossier
Huisartsgeneeskunde
Heb je nog vragen na het lezen van dit artikel?
Check onze AI-tool en verbaas je over de antwoorden.
ASK NTVG

Ook interessant

Reacties

Gratis Ask NTVG uitproberen?

Maak met 2 klikken een gratis account aan

Account aanmaken

Heb je al een account of een abonnement? Inloggen

Altijd toegang tot alle publicaties van het NTVG?

Abonneer vandaag nog!

Online toegang tot alle artikelen
Gepersonaliseerde alerts voor artikelen en dossiers
Artikelen voor opleiding en nascholing mét geaccrediteerde toetsen
Onbeperkt luisteren naar de NTVG-podcast
Antwoorden op al je vragen via de AI-toepassing 'Ask NTVG'

Neem het digitaal ntvg abonnement

€ 15,93 per maand!

Ik wil digitaal
NTVG nummer 2 2026
NTVG nummer 3 2026
NTVG nummer 4 2026