Een man met pijn links onder in de buik

Wat is de diagnose?
Abstract
Wessel M.C.M. Vorselaars
Miriam M. van Heeswijk en
David J.G.H. Roks
Leestijd
2 minuten
Citeren

Casus

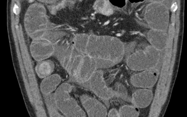
Een 57-jarige man kwam op de SEH met koorts, pijn links onder in de buik en het uitblijven van ontlasting sinds een dag. De voorgeschiedenis van patiënt vermeldde diverticulitis en cholecystitis waarvoor hij galblaasdrainage had ondergaan. Bij lichamelijk onderzoek was zijn buik links onder fors drukpijnlijk. Laboratoriumonderzoek toonde verhoogde ontstekingsparameters. Differentiaaldiagnostisch dachten wij aan een al dan niet gecompliceerde diverticulitis. De CT-scan van het abdomen toonde echter een verdikte galblaaswand en een – relatief zeldzame – fistel tussen de galblaas en het colon transversum (figuur 1a). Tevens was er sprake van pneumobilie, het belangrijkste röntgencriterium voor een galsteenilieus. In…

Auteursinformatie

UMC Utrecht. Afd. Heelkunde: drs. W.M.C.M. Vorselaars, arts-onderzoeker; dr. D.J.G.H. Roks, aios. Afd. Radiologie: dr. M.M. van Heeswijk, aios.

Contact W.M.C.M. Vorselaars, (w.m.vorselaars@umcutrecht.nl)

Belangenverstrengeling

Belangenconflict en financiële ondersteuning: geen gemeld.

Auteur Belangenverstrengeling
Wessel M.C.M. Vorselaars ICMJE-formulier
Miriam M. van Heeswijk en ICMJE-formulier
David J.G.H. Roks ICMJE-formulier
Reacties

Ook interessant

Gratis Ask NTVG uitproberen?

Maak met 2 klikken een gratis account aan

Account aanmaken

Heb je al een account of een abonnement? Inloggen

Altijd toegang tot alle publicaties van het NTVG?

Abonneer vandaag nog!

Online toegang tot alle artikelen
Gepersonaliseerde alerts voor artikelen en dossiers
Artikelen voor opleiding en nascholing mét geaccrediteerde toetsen
Onbeperkt luisteren naar de NTVG-podcast
Antwoorden op al je vragen via de AI-toepassing 'Ask NTVG'

Neem het digitaal ntvg abonnement

€ 15,93 per maand!

Ik wil digitaal
NTVG nummer 3 2026
NTVG nummer 4 2026
NTVG nummer 5 2026