Een man met een pijnlijke duim

Wat is de diagnose?
Abstract
Wijnand J. Alberda
P.T. (Ted) den Hoed

Casus

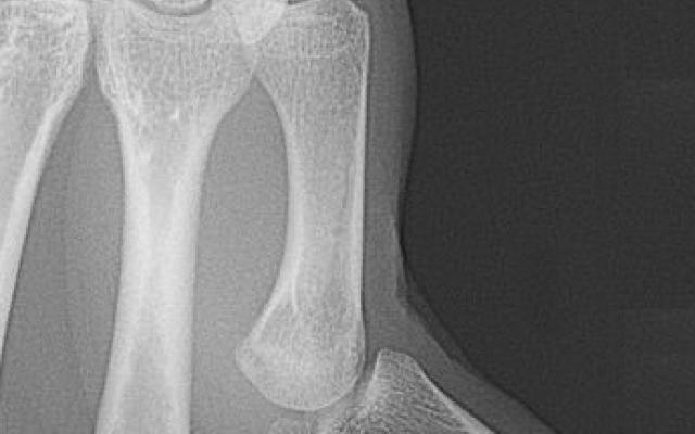
Een 22-jarige man meldde zich op de Spoedeisende Hulp met een pijnlijke linker duim na een val op uitgestrekte handen. Bij lichamelijk onderzoek was de stand van de linker duim afwijkend; er was sprake van een hyperextensiestand van 80° in het metacarpofalangeaal(MCP)-gewricht (figuur a). De patiënt kon de duim in het MCP-gewricht niet flecteren. Daarnaast stond de duimmuis in adductie en kon de patiënt deze niet abduceren. Een röntgenfoto liet een subluxatie zien van het MCP-gewricht zonder aanwijzingen voor een fractuur (figuur b). De duim kon vrij eenvoudig manueel gereponeerd worden; een röntgenfoto in gips ter controle liet een…

Auteursinformatie

Ikazia Ziekenhuis, afd. Heelkunde, Rotterdam.

Drs. W.J. Alberda, arts-assistent Chirurgie; dr. P.T. den Hoed, chirurg.

Contact drs. W.J. Alberda (w_alberda@hotmail.com)

Verantwoording

Belangenconflict: geen gemeld. Financiële ondersteuning: geen gemeld.
Aanvaard op 6 oktober 2011

Auteur Belangenverstrengeling
Wijnand J. Alberda ICMJE-formulier
P.T. (Ted) den Hoed ICMJE-formulier
Heb je nog vragen na het lezen van dit artikel?
Check onze AI-tool en verbaas je over de antwoorden.
ASK NTVG

Ook interessant

Reacties

Gratis Ask NTVG uitproberen?

Maak met 2 klikken een gratis account aan

Account aanmaken

Heb je al een account of een abonnement? Inloggen

Altijd toegang tot alle publicaties van het NTVG?

Abonneer vandaag nog!

Online toegang tot alle artikelen
Gepersonaliseerde alerts voor artikelen en dossiers
Artikelen voor opleiding en nascholing mét geaccrediteerde toetsen
Onbeperkt luisteren naar de NTVG-podcast
Antwoorden op al je vragen via de AI-toepassing 'Ask NTVG'

Neem het digitaal ntvg abonnement

€ 15,93 per maand!

Ik wil digitaal
NTVG nummer 2 2026
NTVG nummer 3 2026
NTVG nummer 4 2026