Een man met dyspneu tijdens duiken

Thoraxfoto
Abstract
Tjerk H. Hylkema
Sandra Been-Buck
Citeren

Casus

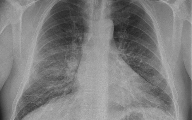
Een 64-jarige man met een blanco voorgeschiedenis kwam op de SEH vanwege plots ontstane dyspneu tijdens duiken in een veenmeer. Na ongeveer 30 minuten duiken bemerkte hij meer behoefte aan perslucht, waarna hij direct zijn duik had beëindigd. Bij lichamelijk onderzoek zagen wij een dyspnoïsche patiënt met duidelijke crepitaties bibasaal. Zijn saturatie was 90% bij kamerlucht. Voorts was hij hypertensief met een bloeddruk van 173/97 mmHg. Het ecg was niet afwijkend. Bloedgasanalyse liet met een pO2 van 9,2 kPa een geïsoleerde hypoxemie zien. Op de X-thorax zagen wij Kerley-B-lijnen en versterkte tekening van de pulmonale vaten. Bij echografie was…

Auteursinformatie

Martini ziekenhuis, afd. Longziekten, Groningen: dr. T.H. Hylkema, aios longziekten; dr. S. Been-Buck, longarts.

Contact T.H. Hylkema (t.hylkema@mzh.nl)

Belangenverstrengeling

Belangenconflict en financiële ondersteuning: geen gemeld.

Auteur Belangenverstrengeling
Tjerk H. Hylkema ICMJE-formulier
Sandra Been-Buck ICMJE-formulier

Ook interessant

Reacties

Gratis Ask NTVG uitproberen?

Maak met 2 klikken een gratis account aan

Account aanmaken

Heb je al een account of een abonnement? Inloggen

Altijd toegang tot alle publicaties van het NTVG?

Abonneer vandaag nog!

Online toegang tot alle artikelen
Gepersonaliseerde alerts voor artikelen en dossiers
Artikelen voor opleiding en nascholing mét geaccrediteerde toetsen
Onbeperkt luisteren naar de NTVG-podcast
Antwoorden op al je vragen via de AI-toepassing 'Ask NTVG'

Neem het digitaal ntvg abonnement

€ 15,93 per maand!

Ik wil digitaal
NTVG nummer 2 2026
NTVG nummer 3 2026
NTVG nummer 4 2026