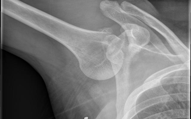
Dit artikel is alleen beschikbaar als PDF.Lees de PDF Artikelinformatie 10 juni 1927 Citeer dit artikel als Ned Tijdschr Geneeskd. 1927;71:2684-92 Heb je nog vragen na het lezen van dit artikel? Check onze AI-tool en verbaas je over de antwoorden. ASK NTVG Ook interessant Beeldquiz Een man met opgeheven bovenarm Diagnose in beeld Een man met opgeheven bovenarm Mededelingen Het therapeutisch monsterverbond opgeheven Meer gerelateerd … Reacties Login om een reactie te plaatsen
Reacties