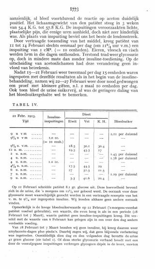
Dit artikel is alleen beschikbaar als PDF.Lees de PDF Artikelinformatie 15 april 1923 Citeer dit artikel als Ned Tijdschr Geneeskd. 1923;67:1773 Heb je nog vragen na het lezen van dit artikel? Check onze AI-tool en verbaas je over de antwoorden. ASK NTVG Ook interessant Media Vergiftungen, Entgiftung, Giftinformation Nieuws De tegengiften tegen de phosphorus-vergiftiging Nieuws Phenacetine-vergiftiging Meer gerelateerd … Reacties Login om een reactie te plaatsen
Reacties