Diagnose in beeld (395). Een meisje met groeivertraging en een bolle buik

Wat is de diagnose?
Abstract
E. Oussoren
G.C.B. Bindels-de Heus

Casus

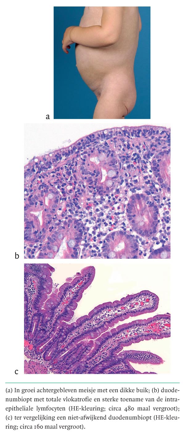
Een meisje van 1,5 jaar werd verwezen met een ernstige groeivertraging, een bolle buik en mogelijk een tumor in de buik. De gewichtscurve liet een afbuiging zien van 0 × SD tot de leeftijd van 6 maanden naar –3 × SD in de laatste 2 maanden, en de lengtecurve boog in dezelfde periode af van 0 naar –2,5 × SD. De eetlust was verminderd, patiënte spuugde en zij had 1 keer per dag brijige ontlasting. Bij lichamelijk onderzoek werd een bleek, dystrofisch meisje gezien met weinig subcutaan vet, platte billen, een bolle buik (figuur a) met verstreken…

Auteursinformatie

Erasmus MC-Sophia Kinderziekenhuis, afd. Kindergeneeskunde, Dr. Molewaterplein 60, 3015 GJ Rotterdam.

Mw.drs.E.Oussoren, arts in opleiding tot kinderarts; mw.drs.G.C.B.Bindels-de Heus, kinderarts.

Contact mw.drs.E.Oussoren (e.oussoren@erasmusmc.nl)

Heb je nog vragen na het lezen van dit artikel?
Check onze AI-tool en verbaas je over de antwoorden.
ASK NTVG

Ook interessant

Reacties