Diagnose in beeld (258). Een vrouw met een 'kogel' in het abdomen

Wat is de diagnose?
Abstract
J.M. Schutte
M.H.M. Oonk
J.M. van der Ploeg
Leestijd
2 minuten
Citeren

Casus

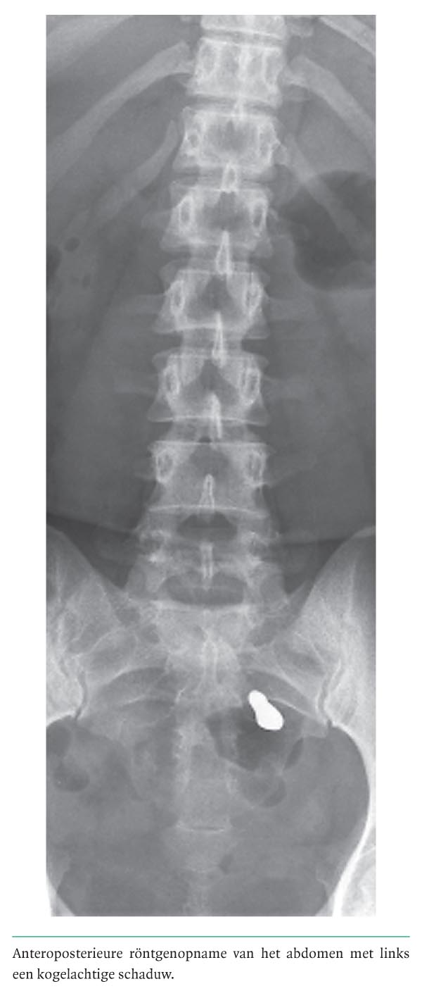
Bij een 48-jarige vrouw werd op een röntgenfoto bij toeval een metaalachtig artefact links ter hoogte van het sacrum gevonden (figuur). De radioloog dacht aan een kogel. Patiënte kon zich echter geen schietincident herinneren. Zij werd naar ons verwezen vanwege een uitgebreide gynaecologische voorgeschiedenis, met de vraag of wij het ‘metaaldeeltje’ konden verklaren. De voorgeschiedenis vermeldde onder andere langdurige subfertiliteit, waarvoor patiënte 17 jaar eerder 2 maal hysterosalpingografie had ondergaan. Zij had geen gynaecologische klachten en wij vonden geen verklaring voor het metaalachtige artefact. Als toevalsbevinding werden echoscopisch links 2 cysten gezien van respectievelijk 4 en 7…

Auteursinformatie

Universitair Medisch Centrum Groningen, afd. Obstetrie en Gynaecologie, Groningen.

Mw.J.M.Schutte, mw.M.H.M.Oonk en hr.J.M.van der Ploeg (thans: Martini Ziekenhuis, afd. Gynaecologie, Postbus 30.033, 9700 RM Groningen), assistent-geneeskundigen.

Contact hr.J.M.van der Ploeg (jmvdploeg@planet.nl)

Reacties

Ook interessant

Gratis Ask NTVG uitproberen?

Maak met 2 klikken een gratis account aan

Account aanmaken

Heb je al een account of een abonnement? Inloggen

Altijd toegang tot alle publicaties van het NTVG?

Abonneer vandaag nog!

Online toegang tot alle artikelen
Gepersonaliseerde alerts voor artikelen en dossiers
Artikelen voor opleiding en nascholing mét geaccrediteerde toetsen
Onbeperkt luisteren naar de NTVG-podcast
Antwoorden op al je vragen via de AI-toepassing 'Ask NTVG'

Neem het digitaal ntvg abonnement

€ 15,93 per maand!

Ik wil digitaal
NTVG nummer 3 2026
NTVG nummer 4 2026
NTVG nummer 5 2026