Diagnose in beeld (237). Een man met een gezwel op zijn linker bil

Wat is de diagnose?
Abstract
G.A.M. Govaert
P.W. Plaisier

Casus

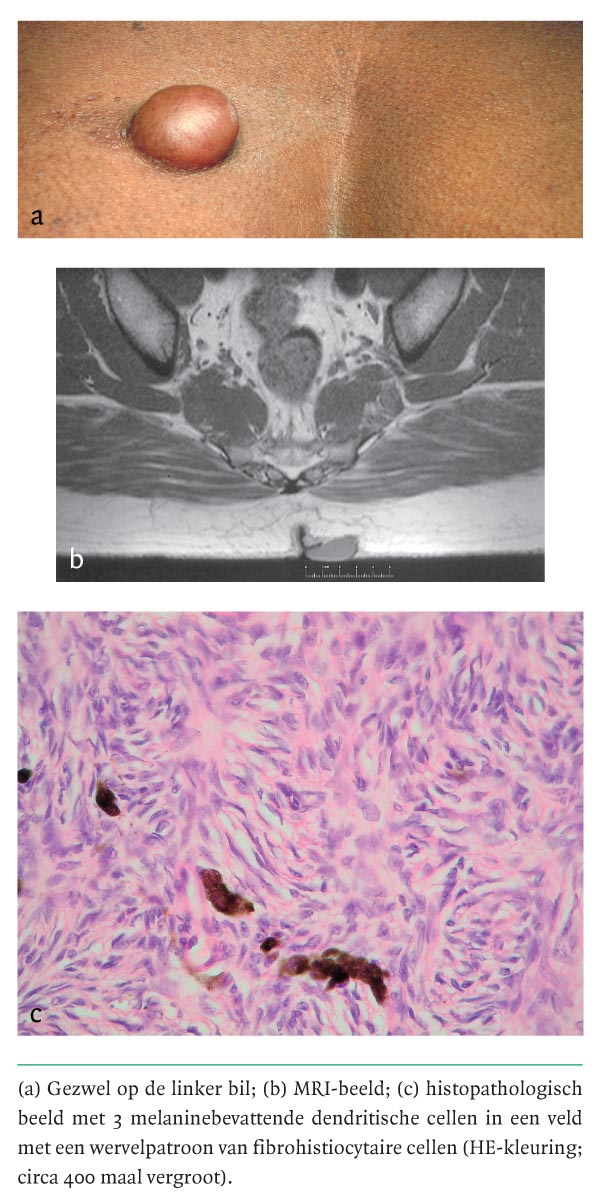
Een 42-jarige man werd via de dermatoloog naar de polikliniek Chirurgie verwezen vanwege een sedert enkele jaren bestaande zwelling op zijn linker bil. De zwelling was langzaam gegroeid en was niet pijnlijk, maar werd wel als hinderlijk en cosmetisch storend ervaren. Bij lichamelijk onderzoek zagen wij een gezonde man met een donkere huidskleur. De zwelling bevond zich ter plaatse van de mediale bovenrand van de linker bil, was vast-elastisch en niet pijnlijk bij palpatie (figuur a). De diameter bedroeg 3 cm. Ten tijde van de verwijzing was een biopt genomen; op basis daarvan was de diagnose ‘Bednar-tumor’…

Auteursinformatie

Albert Schweitzer Ziekenhuis, locatie Dordwijk, afd. Chirurgie, Postbus 444, 3300 AK Dordrecht.

Mw.G.A.M.Govaert, assistent-geneeskundige; hr.dr.P.W.Plaisier, chirurg.

Contact hr.dr.P.W.Plaisier (p.w.plaisier@asz.nl)

Heb je nog vragen na het lezen van dit artikel?
Check onze AI-tool en verbaas je over de antwoorden.
ASK NTVG

Ook interessant

Reacties