Diagnose in beeld (152). Een man met een gezwel in de lies

Wat is de diagnose?
Abstract
R. Keijzer
S.H. Sastrowijoto
M. Brakman
M. van der Elst

Casus

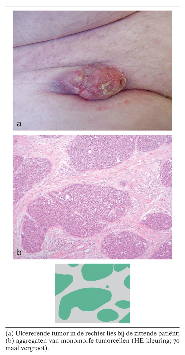
Een 78-jarige man presenteerde zich op de afdeling Dermatologie met een progressief groeiende tumor in de rechter lies. De tumor zat er al jaren, maar werd nu steeds groter en bloedde af en toe. Bij onderzoek werd een ulcererende tumor met afmetingen van 6 bij 4 cm gezien, met in de omgeving een aantal verruceuze, huidkleurige tot erythemateuze afwijkingen (figuur a). Het huidstansbiopt bevatte een maligne tumor. Deze werd via een oncologische resectie verwijderd. Bij pathologisch onderzoek werd een ulcererende maligne huidadnextumor vastgesteld (zie figuur b): een maligne eccrien poroom (porocarcinoma), dat radicaal verwijderd was. Patiënt…

Auteursinformatie

Reinier de Graaf Groep, Reinier de Graafweg 3-11, 2625 AD Delft.

Afd. Chirurgie: dr.R.Keijzer, assistent-geneeskundige; dr.M.van der Elst, chirurg.

Afd. Pathologie: dr.S.H.Sastrowijoto, patholoog.

Afd. Dermatologie: mw.M.Brakman, dermatoloog.

Contact dr.R.Keijzer (keijzer@rdgg.nl)

Heb je nog vragen na het lezen van dit artikel?
Check onze AI-tool en verbaas je over de antwoorden.
ASK NTVG

Ook interessant

Reacties