Diagnose in beeld (129). Een vrouw die bij katheterisatie collabeerde

Wat is de diagnose?
Abstract
F.H.W. Hermens
M.M.J. Schuurmans

Casus

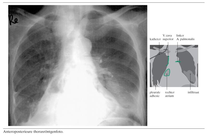
Een 72-jarige vrouw met een voorgeschiedenis van diabetische nefropathie kreeg een centraalveneuze katheter voor hemodialyse. Na plaatsing van de katheter werd een routinethoraxfoto gemaakt en op dat moment collabeerde patiënte. Op de foto was, behalve een foutieve plaatsing van de katheter in de V. jugularis interna, een luchtembolus te zien in het rechter atrium (figuur). Ook waren luchtbellen zichtbaar in de V. cava superior, die daardoor niet meer door een rechte lijn was begrensd, maar komvormige ‘defecten’ vertoonde; verder was er een luchtspiegel in de linker A. pulmonalis. Rechts waren pleura-afwijkingen te zien, overblijfselen van een pleurodese…

Auteursinformatie

Canisius-Wilhelmina Ziekenhuis, afd. Interne Geneeskunde, Weg door Jonkerbos 100, 6532 SZ Nijmegen.

F.H.W.Hermens, assistent-geneeskundige; dr.M.M.J.Schuurmans, internist.

Contact F.H.W.Hermens (frankhermens@planet.nl)

Heb je nog vragen na het lezen van dit artikel?
Check onze AI-tool en verbaas je over de antwoorden.
ASK NTVG

Ook interessant

Reacties

Nijmegen, maart 2003,

De thoraxfoto zoals die is afgedrukt ter illustratie van de door Hermens en Schuurmans beschreven casus (2003:442) vraagt om een reactie. De kwaliteit van de afdruk is zeer matig; volgens ons is de opname niet toereikend als middel om deze – toch belangrijke – klinische diagnose toe te lichten dan wel te onderbouwen. Inderdaad ligt de katheter in de V. jugularis, maar lucht in de V. cava superior is hier niet te zien. Wel is lucht zichtbaar in het gebied van het rechter atrium en van de centrale pulmonale arterie. Over de hartfiguur is ook nog een luchtfiguur waar te nemen: een artefact? Daarnaast is te zien dat er een tracheadeviatie is, mogelijk als gevolg van een (deels) retrosternaal gelegen struma, en dat er een volumeverlies is van de rechter onderkwab en ook van de linker, inderdaad met infiltratie aldaar.

Kortom: deze opname van de thorax is naar ons oordeel niet van voldoende kwaliteit om op basis daarvan zo'n bijzondere diagnose te stellen; wij achten daarbij tenminste een dwarse opname, gevolgd door doorlichting – ter lokalisatie van de luchtfiguren –, noodzakelijk.

F.M.J. Heijstraten
J.H.J. Ruijs

Nijmegen, maart 2003,

De afgedrukte foto is van mindere kwaliteit dan de door ons geleverde originele foto. Mochten de collegae Heijstraten en Ruijs hiervoor nog interesse hebben, dan zijn we uiteraard bereid een kopie op te sturen van het origineel. Daarop zijn ook de luchtbellen in de V. cava superior goed te zien. Terecht merken de briefschrijvers op dat er meer afwijkingen zichtbaar zijn op de foto (onder andere tracheadeviatie), maar wij achtten dit irrelevant voor deze casus. Het gaat hier om de luchtembolus.

Wij zijn het niet eens met het oordeel dat de diagnose ‘luchtembolus’ op basis van deze foto niet gesteld zou mogen worden. Ook de opmerking dat een dwarse opname, gevolgd door doorlichting, noodzakelijk zou zijn, vinden wij niet reëel. Zoals gezegd in het artikel collabeerde patiënte nadat de foto was gemaakt. Een dwarse opname en doorlichting zijn alleen te realiseren als de patiënt kan staan. In dit geval was dat onmogelijk.

Uiteraard is de radioloog gevraagd naar een oordeel over dit radiologische onderzoek.

F.H.W. Hermens
M.M.J. Schuurmans

De brief van Heijstraten en Ruijs en het antwoord van Hermens en Schuurmans geven de redactie de gelegenheid de gang van zaken rondom radiologische afbeeldingen en verklarende tekeningen daarbij toe te lichten. Sinds wij de eerste verklarende tekeningen bij radiologische afbeeldingen afdrukten (in 1996), wordt de redactie geregeld door radiologen benaderd die een fout in de verslaglegging hebben aangetroffen. Vaak leidt dat tot het plaatsen van een verbetering in een volgend nummer van het Tijdschrift.

De verklarende tekeningen worden na aanvaarding van het artikel gemaakt. Er komt daardoor meer radiologische informatie in het artikel dan bij aanvaarding het geval was, door inspanning van de redactie en de illustrator. Daarbij kunnen fouten ontstaan. Wij hebben enkele radiologen bereid gevonden om toe te zien op de kwaliteit van die aanvullende radiologische verslaglegging. Uiteraard blijven de auteurs verantwoordelijk voor hun artikel, inclusief de afbeeldingen. Daarom vragen wij de corresponderende auteur om met de verklarende tekeningen en het onderschrift alsnog, ter verificatie, langs de eigen radioloog te lopen. Diens bemoeienis kan worden vermeld in een noot bij het artikel.

Redactie