Controle op het naleven van richtlijnen verkort opnameduur bij een pneumonie

Nieuws
W.F.W. Bierman
M.A. van Agtmael

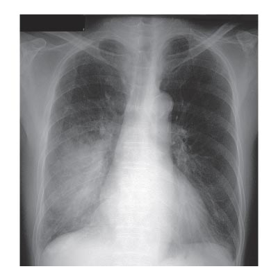
‘Community-acquired pneumonia’ (CAP) is een frequente oorzaak van ziekenhuisopnamen (figuur). De opnameduur hangt samen met efficiëntie en kosten, maar ook met complicaties, zoals nosocomiale infecties en diepveneuze trombose. Fishbane et al. onderzochten of de opnameduur bij CAP verkort kan worden door de toepassing van richtlijnen in combinatie met…

Heb je nog vragen na het lezen van dit artikel?
Check onze AI-tool en verbaas je over de antwoorden.
ASK NTVG

Ook interessant

Reacties