Artikel voor opleiding en nascholing

Artrose

Illustratie van lichaam met geïrriteerde gewrichten
Abstract
Frank van Roon
Taco Gosens
Download PDF

Dit artikel is een actualisatie van een eerder verschenen nascholingsartikel over artrose (D1442). In de rubriek ‘10 vragen over’ beantwoorden experts veelvoorkomende vragen over een bepaald onderwerp. Test je kennis met de onlinetoets!

Vroeger werd artrose gezien als slijtage die leidt tot gewrichtsweefselschade en uiteindelijk tot een functiebeperking. Maar tegenwoordig wordt ze beschouwd als een uiterst complexe, multifactoriële, degeneratieve ziekte. Deze invaliderende aandoening begint op latere leeftijd en wordt gekenmerkt door verlies van articulair kraakbeen en ontsteking van het synoviale weefsel.

Toets voor nascholing

Aan dit artikel is een toets gekoppeld waarmee je nascholingspunten kan verdienen. De toets is beschikbaar tot 10 december 2026.

Maak de toets
Overzicht van te behalen accreditatiepunten
Specialisme Punt(en)
Alle BIG-erkende specialismen 1
  • Deze toets geldt voor alle BIG-erkende specialismen en levert je 1 nascholingspunt op. De toets is geaccrediteerd door ABAN, NAPA, KNMP, NVZA en V&VN.
  • De toets telt mee binnen en buiten het eigen vakgebied voor medisch specialisten, huisartsen, sociaal geneeskundigen, specialisten ouderengeneeskunde, apothekers, physician assistants en verpleegkundig specialisten.
  • De toewijzing van punten verloopt via PE-online (het herregistratiesysteem) na het invullen van je BIG-nummer.

Samenvatting

Waar artrose voorheen werd gezien als alleen gewrichtsslijtage, beschouwt men haar nu als een uiterst complexe, multifactoriële, degeneratieve ziekte. Door de vergrijzing en de toenemende BMI van de gemiddelde Nederlander zullen de prevalentie van artrose en de daaraan gerelateerde zorgkosten stijgen. In dit leerartikel geven wij praktische informatie over het ziektebeeld, de diagnostiek en de behandeling. Dit doen wij aan de hand van 10 vragen die leven bij onder anderen huisartsen, internisten en chirurgen.

Leerdoelen
  • Weten welke diagnostiek u kunt inzetten bij aanwijzingen voor artrose.
  • Artrose kunnen herkennen.
  • Weten welke conservatieve en operatieve behandelingen zinvol zijn voor artrose.

artikel

Ongeveer de helft van alle 65-plussers heeft artrose.1 In Nederland komt artrose voor bij gemiddeld 13% van de bevolking. Zo waren er in 2016 circa 1.251.000 mensen bij wie de huisarts de diagnose ‘artrose’ had gesteld. Het aantal nieuwe patiënten met knieartrose was 54.900 en met heupartrose 33.800.2

Door de vergrijzing en de toenemende BMI van de gemiddelde Nederlander zal ook de prevalentie van artrose stijgen. Zo is er een duidelijke relatie tussen een BMI > 30 kg/m2 en artrose van het knie- of handgewricht.3 De maatschappelijke gevolgen hiervan zijn groot omdat artrose leidt tot tijdelijke of blijvende arbeidsongeschiktheid of beperking.4 In 2011 waren de zorgkosten voor artrose 1,1 miljard euro; dit was 1,2% van alle Nederlandse zorgkosten.

Wat is artrose?

Hoe herkent u artrose?

De typische klachten van artrose zijn gewrichtspijn, ochtendstijfheid < 30 min en bewegingsbeperking van het aangedane gewricht. Daarnaast komen crepitaties, instabiliteit, hydrops, spieratrofie en nachtpijn voor. Al deze verschijnselen zijn afhankelijk van het stadium van de artrose en eventueel van de aanwezigheid van een nieuw trauma van het betreffende gewricht. De gemiddelde patiënt is > 45 jaar. Alle klachten kunnen fluctueren in ernst, maar over de jaren heeft artrose een langzaam progressief beloop.

Welke gewrichten zijn het vaakst aangedaan?

De knie (gonartrose) en heup (coxartrose) zijn het vaakst aangedaan; andere frequent aangedane gewrichten staan ook afgebeeld in figuur 1. Dit zijn de voorkeursgewrichten bij primaire artrose, waarbij sprake is van een geleidelijke, min of meer regelmatige vermindering van de hoogte van de kraakbeenlaag van het gewricht.

Figuur 1
Lokalisaties van artrose
Figuur 1 | Lokalisaties van artrose
Meest voorkomende, vaak voorkomende en minder vaak voorkomende lokalisaties

Bij al bestaande gewrichtsafwijkingen kan secundaire artrose optreden. Voorbeelden hiervan zijn de ziekte van Perthes, heupdysplasie, doorgemaakt trauma, doorgemaakte artritis en aangeboren scheefstanden.

Welke risicofactoren zijn er voor artrose?

Er zijn verschillende risicofactoren voor het ontwikkelen van artrose (figuur 2). Voor gonartrose zijn de meest voorkomende risicofactoren: leeftijd, geslacht (vrouw), knieletsel (meniscusresectie, intra-articulaire fractuur, microtrauma), mechanische asafwijkingen en een hoge BMI.

Figuur 2
Risicofactoren voor het ontwikkelen van artrose
Figuur 2 | Risicofactoren voor het ontwikkelen van artrose

Voor coxartrose zijn de meest voorkomende risicofactoren: leeftijd, dysplasie, gewrichtsletsel (heupluxatie, intra-articulaire fractuur, microtrauma) en een hoge BMI – in geringere mate dan bij gonartrose.

Diagnostiek

Wat is het verschil tussen artrose, osteoartritis, artritis en pseudoartrose?

De wetenschappelijke naam voor wat we in het Nederlands ‘artrose’ noemen is osteoartritis (Engels: ‘osteoarthritis’). De ontstekingscomponent is voornamelijk aanwezig in het synoviale weefsel.

Het Griekse ‘arthron’ betekent ‘gewricht’. Artritis is dus een ontsteking van het gewricht. De meest voorkomende artritiden zijn reumatoïde artritis, jichtartritis, reactieve artritis en bacteriële artritis.

Pseudoartrose is het verschijnsel dat optreedt wanneer een botbreuk niet vastgroeit en er vervolgens een vals gewricht ontstaat. Wanneer er na 6 maanden geen consolidatie is tussen de delen van een fractuur, is er sprake van ‘non-union’ en dus van pseudoartrose.

Hoe onderscheidt u artrose van andere gewrichtsaandoeningen?

Artrose is in de regel niet traumatisch, maar een trauma of misstap kan de inflammatie uitlokken die pijn geeft. Een acuut begin is niet typisch voor artrose. Bij acuut ontstane klachten, gewrichtspijn in rust, zwelling, warmte, roodheid, bewegingsbeperking of koorts kan sprake zijn van een al dan niet septische artritis en moet er niet gedacht worden aan artrose.

Ook moet dit beeld niet verward worden met bursitis. Bij een bursitis is er vaak één duidelijke pijnlijke plek te palperen. Daarbij is de typische pijn op te wekken in rust en is deze afwezig bij alle gewrichtsbewegingen.

Bij aanwijzingen voor bacteriële artritis is een spoedverwijzing geïndiceerd. Dit is voornamelijk bij artritis van één, meestal groot, gewricht waarbij de patiënt koorts of koude rillingen heeft.

Welk diagnostisch onderzoek moet de huisarts verrichten?

Het NHG raadt huisartsen af een röntgenfoto te maken bij vermoeden van artrose.5 De diagnose ‘artrose’ kan klinisch gesteld worden, op basis van de criteria uit de NICE-richtlijn (NICE staat voor ‘National Institute for Health and Care Excellence’) (tabel). Patiënten met een klinische diagnose ‘artrose’ kunnen als zodanig behandeld worden.

Tabel 1
Klinische criteria voor artrose
Volgens de NHG-standaard ‘Niet-traumatische knieklachten’5
Tabel 1 | Klinische criteria voor artrose | Volgens de NHG-standaard ‘Niet-traumatische knieklachten’5

Er is een discrepantie tussen de mate van pijn bij artrose en de objectieve bevindingen op de röntgenfoto’s. Van de mensen met kniepijn heeft 15-76% radiografische gonartrose en van degenen met radiografische gonartrose heeft 15-81% kniepijn.6 Bij de heup is de correlatie tussen heuppijn en röntgenologische tekenen van coxartrose eveneens laag.7

Ook bij aanwijzingen voor het patellofemorale pijnsyndroom, het tractus-iliotibialis-frictiesyndroom of patellatendinopathie (‘jumper’s knee’) wordt afgeraden om beeldvormend onderzoek in te zetten.

Een röntgenfoto dient alleen ter uitsluiting van andere aandoeningen, zoals een fractuur, epifysiolyse, tumor, osteomyelitis of osteochondritis dissecans.5 Het is raadzaam om bij aanwijzingen voor een van deze aandoeningen of bij twijfel over de diagnose ‘artrose’ de patiënt te verwijzen naar een orthopedisch chirurg.

Als een röntgenfoto gemaakt wordt, zijn bij aanwezigheid van artrose de volgende kenmerken te zien: asymmetrische gewrichtsspleetversmalling, subchondrale botvorming, cysten, osteofyten en subluxatie van het gewricht (figuur 3 en 4).

Figuur 3
Schematische weergave van het kniegewricht
(a) In de fysiologische situatie en (b) bij artrose
Figuur 3 | Schematische weergave van het kniegewricht | (a) In de fysiologische situatie en (b) bij artrose
De veranderde botombouw bij artrose is zichtbaar als ‘sclerose’ op een röntgenfoto.

Bij vermoeden van artrose moet de huisarts zelf geen diagnostische gewrichtspuncties uitvoeren, ook niet als er een hydrops is.

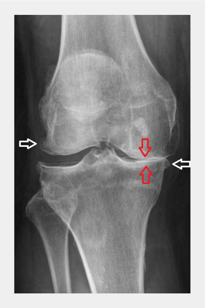
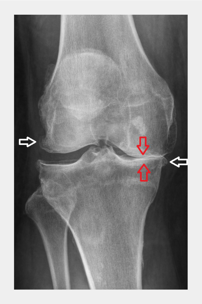
Figuur 4
Anterieur-posterieure röntgenopname van rechter knie met gonartrose
Figuur 4 | Anterieur-posterieure röntgenopname van rechter knie met gonartrose
De witte pijlen tonen osteofyten en de rode pijlen de gewrichtsspleetversmalling.

Binnen de huisartsenpraktijk kan nog gelet worden op de lichaamshouding van kinderen. Door een verkeerde houding komen er onnatuurlijke krachten op het kraakbeen, waardoor artrose eerder optreedt. Door vroege detectie en verbetering van een onnatuurlijke houding kan artrose worden voorkomen.

Behandeling

De doelen van conservatieve therapie voor artrose zijn het onder controle houden van de pijn en zwelling, het minimaliseren van de invaliditeit en het verbeteren van de kwaliteit van leven. Er is geen oorzakelijke behandeling. In figuur 5 staat het stappenplan voor de conservatieve behandeling.

Figuur 5
Stroomschema van conservatieve behandeling van patiënten met artrose
Figuur 5 | Stroomschema van conservatieve behandeling van patiënten met artrose

Welke conservatieve therapie is zinvol?

Binnen de conservatieve therapie voor artrose kan gedacht worden aan oefentherapie begeleid door de fysiotherapeut, hulpmiddelen zoals een wandelstok, gewichtsverlies en pijnmedicatie. Daarnaast is het belangrijk de patiënt te leren hoe met artrose is te leven dan wel de onmogelijkheden te accepteren. Goede scholing over artrose is daarbij van belang.

Het gebruik van een brace of orthese wordt niet aanbevolen. Aangepast schoeisel bij mediale gonartrose biedt geen verlichting van de pijn of verbetering van de kniefunctie.8

Medicamenteuze therapie is zeker zinvol bij de pijnbestrijding van artrose. Hierbij dient begonnen te worden met paracetamol. Bij onvoldoende resultaat kan een NSAID worden voorgeschreven. Als de artrose gepaard gaat met duidelijke inflammatie, dient de patiënt direct behandeld te worden met een orale NSAID.

Zeker bij patiënten met duidelijke atrofie van de M. quadriceps biedt fysiotherapie uitkomst, voor pijnbestrijding en functieverbetering. Het spierkorset rond de knie dient weer getraind te worden, waardoor er meer stabiliteit is in de knie en minder wrijving tussen het kraakbeen. Na het versterken van de M. quadriceps daalt de pijn bij gonartrose significant.9 Het toevoegen van acupunctuur aan fysiotherapie geeft geen vermindering van de pijn.10

De huisarts moet niet vergeten de patiënt te adviseren om gewicht te verliezen. Zeker voor patiënten met artrose én obesitas kan het nuttig zijn een dieet te combineren met een bewegingsprogramma. Gewichtsverlies kan ook preventief werken: een verlaging van de BMI geeft een significant lager risico op artrose.11

Er is geen effect te verwachten van vitamine D-suppletie, omdat de pijn door gonartrose hierdoor niet afneemt.12 Daarnaast vertraagt deze behandeling niet de progressie van artrose.13 Vitamine D-suppletie heeft daarom geen plaats in de behandeling van artrose.

Inname van glucosamine voorkomt artrose niet.14 Glucosamine en chondroïtine zijn beide niet effectief als therapie voor artrose, maar er zijn ook geen nadelige effecten van beschreven.15 Behandeling met chondroïtinesulfaat, in een dosis van 800 mg/dag, leidt na 6 maanden tot een verbeterde functie en minder pijn bij patiënten met artrose vergeleken met placebo, maar is gelijk aan het gebruik van celecoxib.16

Welke plaats heeft glucocorticoïdinjectie in de huisartsenpraktijk?

De NHG-standaard ‘Niet-traumatische knieklachten’ raadt aan bij tussentijdse verergering of onvoldoende effect van analgetica de mogelijke toediening van intra-articulaire glucocorticoïdinjecties te bespreken met de patiënt.5 Hierbij moet worden aangegeven dat de effecten meestal kortdurend zijn (< 3 weken) en dat er soms bijwerkingen optreden. De injecties mogen maximaal 4 keer per jaar worden gegeven, met een interval van minimaal 6 weken tussen de injecties. Glucocorticoïdinjecties hebben echter geen effect op de mate van progressie van de artrose.17

Toch laat een recent gepubliceerde RCT bij patiënten met gonartrose zien dat injectie van het glucocorticoïd triamcinolon resulteert in een significant groter verlies van kraakbeen dan injectie van fysiologisch zout; er was geen significant verschil in de pijnervaring tussen de twee groepen.18 Deze onderzoeksresultaten gaan lijnrecht in tegen het advies in de NHG-standaard en daarom is het injecteren van glucocorticoïd in de huisartsenpraktijk mogelijk achterhaald.

Mogelijke bijwerkingen van glucocorticoïdinjecties zijn te wijten aan systemische absorptie van het geneesmiddel. Er kan sprake zijn van suppressie van de hypothalamus-hypofyseas (tot 2 weken na de injectie), een verhoogde glucosewaarde (tot 4 dagen), ecchymose, postmenopauzaal bloedverlies, versnelde cataractvorming en osteoporose.19

Zijn andere invasieve therapieën zinvol?

Mogelijke ingrepen bij artrose zijn: artroscopie, osteotomie, artrodese, artroplastiek en resectie-artroplastiek.

Bij gonartrose wordt artroscopie alleen aangeraden bij patiënten met slotklachten. Er is geen indicatie voor artroscopie bij pseudoslotklachten (zie het uitlegkader).

Osteotomie is alleen zinvol wanneer slecht één helft van het gewricht is aangedaan. Het uitgangspunt hierbij is ontlasting van het overbelaste compartiment, vermindering van de intraossale druk en mogelijke vorming van fibrocartilagineus weefsel ter plaatse van het ontlaste compartiment. Correctie van standsafwijkingen van alle pijpbeenderen is geïndiceerd voor preventie van progressie van compartimentartrose en voor verbetering van de functie. Deze correctie wordt met name uitgevoerd bij de proximale tibia.

Artrodese is uitermate effectief voor pijnverlichting, maar vermindert wel de functionaliteit van het gewricht. Daarom moet in overleg met de patiënt bekeken worden of artrodese wenselijk is.

Artroplastiek is inmiddels mogelijk bij een groot aantal gewrichten. De beste resultaten worden behaald bij de heup, gevolgd door de knie en de schouder. Deze ingreep is echter niet zonder risico’s. Zo is het – gevreesde – risico op een infectie, die meestal hematogeen verspreid is, 0,5-2%.

Met de patiënt moet goed worden gesproken over de te verwachten resultaten van artroplastiek. Niet alle pijn wordt weggenomen; bij een totale knieprothese behoudt 5-10% van de patiënten kniepijn, voornamelijk anterieur.20 Ook sporten zal anders zijn na het krijgen van een prothese. Patiënten met een totale knieprothese wordt afgeraden te voetballen, joggen, basketballen of volleyballen. Wandelen, zwemmen, golfen en fietsen zijn wel veilige sporten.

Een totale knieprothese gaat momenteel ongeveer 15 jaar mee, afhankelijk van hoe actief de patiënt is. Bij jonge en actieve patiënten is de levensduur van deze prothese korter.

Komen er alternatieven voor artroplastiek?

Er wordt voortdurend onderzoek gedaan naar de werking en mogelijke verbetering van veel toepassingen. De industrie past de protheses continu aan op zoek naar verbeteringen.

Distractie van een gewricht dat is aangetast door artrose, staat nog in de kinderschoenen. Door het plaatsen van een externe fixateur wordt het gewricht ontzien en de gedachte is dat het kraakbeen daardoor kan herstellen. Distractie wordt met name gezien als een alternatief voor het plaatsen van een prothese bij patiënten ≤ 65 jaar. Bij de enkel worden op korte termijn pijnvermindering en functieverbetering gezien. Maar bij een groot aantal patiënten (21,7%) faalt deze behandeling, vooral bij obese patiënten.21

Voor de knie moet eerst meer onderzoek gedaan worden voordat distractie gezien kan worden als veilige behandeling. Na 1 jaar waren de uitkomsten voor functie en pijn gelijk bij kniedistractie of plaatsing van een totale knieprothese, maar bij 60% van de patiënten met kniedistractie trad infectie op van de pinnen die in het bot waren geplaatst; bij patiënten bij wie een totale knieprothese is geplaatst daarentegen is het risico op postoperatieve infectie 1%.22 De 1-jaarsresultaten van kniedistractie en osteotomie van de proximale tibia zijn ook vergelijkbaar.23 Toch is meer onderzoek nodig voordat kan worden aanbevolen om distractie van gewrichten als primaire behandeling toe te passen.

Het kweken van kraakbeen en de kraakbeentransplantatie zelf zijn vooralsnog moeilijke en dure procedures en het gebruik van stamcellen vergt verder onderzoek. Veelbelovend is 3D geprint kraakbeen.24 Waar de behandeling van artrose in de toekomst naartoe gaat is nog de vraag, maar er worden wel kleine stappen gezet in de zoektocht naar zo optimaal mogelijk en pijnvrij mobiliseren. Recentelijk verscheen in het NTVG een artikel over gewrichtssparende behandelingen van de knie (D8267). Deze behandelingen zijn geschikt om focale defecten in het kraakbeen te behandelen, maar helaas nog niet geschikt voor behandeling van gegeneraliseerd kraakbeenverlies, zoals bij artrose het geval is.

Beschouwing

De klinische diagnose ‘artrose’ wordt gesteld op basis van: activiteitgerelateerde pijn, leeftijd (de meeste patiënten zijn > 45 jaar), kortdurende ochtendstijfheid, verminderde flexie of extensie van het aangedane gewricht, crepitaties, gevoeligheid van de gewrichtsspleet en palpabele benige afwijkingen. Voor huisartsen geldt dat zij patiënten behandelen op basis van de klinische diagnose; een röntgenfoto wordt alleen gemaakt om andere diagnoses uit te sluiten.

Artrose is een invaliderende, degeneratieve ziekte waarvoor momenteel geen curatieve therapie bestaat. Er zijn wel verschillende symptomatische behandelingen mogelijk. Binnen de conservatieve therapie zijn dit gewichtsverlies, fysiotherapie ter versterking van de M. quadriceps en pijnmedicatie (paracetamol en NSAID). Ook scholing over artrose en begeleiding bij de acceptatie van de beperkingen zijn belangrijk.

Wanneer conservatieve therapie niet langer afdoende werkt, is verwijzing naar een orthopedisch chirurg aanbevolen, die meerdere invasieve behandelopties tot zijn of haar beschikking heeft, zoals artroscopie, osteotomie, artrodese en artroplastiek. Nieuwe therapieën zijn in ontwikkeling en er loopt onderzoek naar mogelijkheden om de oorzaak van artrose te behandelen in plaats van de symptomen.

Literatuur
  1. Musumeci G, Aiello FC, Szychlinska MA, Di Rosa M, Castrogiovanni P, Mobasheri A. Osteoarthritis in the XXIst century: risk factors and behaviours that influence disease onset and progression. Int J Mol Sci. 2015;16:6093-112. Medline doi:10.3390/ijms16036093Artrose.
  2. Huidige situatie. 2017. Volksgezondheidenzorg.info. www.volksgezondheidenzorg.info/onderwerp/artrose/cijfers-context/huidige-situatie#!node-aantal-nieuwe-gevallen-van-artrose, geraadpleegd in december 2017.
  3. Grotle M, Hagen KB, Natvig B, Dahl FA, Kvien TK. Obesity and osteoarthritis in knee, hip and/or hand: an epidemiological study in the general population with 10 years follow-up. BMC Musculoskelet Disord. 2008;9:132. Medline doi:10.1186/1471-2474-9-132
  4. Sharif B, Garner R, Sanmartin C, Flanagan WM, Hennessy D, Marshall DA. Risk of work loss due to illness or disability in patients with osteoarthritis: a population-based cohort study. Rheumatology (Oxford). 2016;55:861-8. Medline doi:10.1093/rheumatology/kev428
  5. NHG-Werkgroep Niet-traumatische knieklachten. NHG-Standaard Niet-traumatische knieklachten. Utrecht: Nederlands Huisartsen Genootschap; 2016.
  6. Bedson J, Croft PR. The discordance between clinical and radiographic knee osteoarthritis: a systematic search and summary of the literature. BMC Musculoskelet Disord. 2008;9:116. Medline doi:10.1186/1471-2474-9-116
  7. Kim C, Nevitt MC, Niu J, et al. Association of hip pain with radiographic evidence of hip osteoarthritis: diagnostic test study. BMJ. 2015;351:h5983. Medline doi:10.1136/bmj.h5983
  8. Hinman RS, Wrigley TV, Metcalf BR, et al. Unloading shoes for self-management of knee osteoarthritis: a randomized trial. Ann Intern Med. 2016;165:381-9. Medline doi:10.7326/M16-0453
  9. Knoop J, Steultjens MP, Roorda LD, et al. Improvement in upper leg muscle strength underlies beneficial effects of exercise therapy in knee osteoarthritis: secondary analysis from a randomised controlled trial. Physiotherapy. 2015;101:171-7. Medline doi:10.1016/j.physio.2014.06.002
  10. Foster NE, Thomas E, Barlas P, et al. Acupuncture as an adjunct to exercise based physiotherapy for osteoarthritis of the knee: randomised controlled trial. BMJ. 2007;335:436. Medline doi:10.1136/bmj.39280.509803.BE
  11. Bliddal H, Leeds AR, Christensen R. Osteoarthritis, obesity and weight loss: evidence, hypotheses and horizons - a scoping review. Obes Rev. 2014;15:578-86. Medline doi:10.1111/obr.12173
  12. McAlindon T, LaValley M, Schneider E, et al. Effect of vitamin D supplementation on progression of knee pain and cartilage volume loss in patients with symptomatic osteoarthritis: a randomized controlled trial. JAMA. 2013;309:155-62. Medline doi:10.1001/jama.2012.164487
  13. Arden NK, Cro S, Sheard S, et al. The effect of vitamin D supplementation on knee osteoarthritis, the VIDEO study: a randomised controlled trial. Osteoarthritis Cartilage. 2016;24:1858-66. Medline doi:10.1016/j.joca.2016.05.020
  14. De Vos BC, Landsmeer MLA, van Middelkoop M, et al. Long-term effects of a lifestyle intervention and oral glucosamine sulphate in primary care on incident knee OA in overweight women. Rheumatology (Oxford). 2017;56:1326-34. Medline
  15. Vasiliadis HS, Tsikopoulos K. Glucosamine and chondroitin for the treatment of osteoarthritis. World J Orthod. 2017;8:1-11. Medline doi:10.5312/wjo.v8.i1.1
  16. Reginster JY, Dudler J, Blicharski T, Pavelka K. Pharmaceutical-grade Chondroitin sulfate is as effective as celecoxib and superior to placebo in symptomatic knee osteoarthritis: the ChONdroitin versus CElecoxib versus Placebo Trial (CONCEPT). Ann Rheum Dis. 2017;76:1537-43. Medline doi:10.1136/annrheumdis-2016-210860
  17. Raynauld JP, Buckland-Wright C, Ward R, et al. Safety and efficacy of long-term intraarticular steroid injections in osteoarthritis of the knee: a randomized, double-blind, placebo-controlled trial. Arthritis Rheum. 2003;48:370-7. Medline doi:10.1002/art.10777
  18. McAlindon TE, LaValley MP, Harvey WF, et al. Effect of intra-articular triamcinolone vs saline on knee cartilage volume and pain in patients with knee osteoarthritis: a randomized clinical trial. JAMA. 2017;317:1967-75. Medline doi:10.1001/jama.2017.5283
  19. Joint aspiration or injection in adults: Complications. 2017. UpToDate. www.uptodate.com/contents/joint-aspiration-or-injection-in-adults-complications.
  20. Breugem SJ, Haverkamp D. Anterior knee pain after a total knee arthroplasty: What can cause this pain? World J Orthod. 2014;5:163-70. Medline doi:10.5312/wjo.v5.i3.163
  21. Zhao H, Qu W, Li Y, et al. Functional analysis of distraction arthroplasty in the treatment of ankle osteoarthritis. J Orthop Surg. 2017;12:18. Medline doi:10.1186/s13018-017-0519-x
  22. Van der Woude JA, Wiegant K, van Heerwaarden RJ, et al. Knee joint distraction compared with total knee arthroplasty: a randomised controlled trial. Bone Joint J. 2017;99-B:51-8. Medline doi:10.1302/0301-620X.99B1.BJJ-2016-0099.R3
  23. Van der Woude JAD, Wiegant K, van Heerwaarden RJ, et al. Knee joint distraction compared with high tibial osteotomy: a randomized controlled trial. Knee Surg Sports Traumatol Arthrosc. 2017;25:876-86. Medline doi:10.1007/s00167-016-4131-0
  24. Gao G, Schilling AF, Hubbell K, et al. Improved properties of bone and cartilage tissue from 3D inkjet-bioprinted human mesenchymal stem cells by simultaneous deposition and photocrosslinking in PEG-GelMA. Biotechnol Lett. 2015;37:2349-55. Medline doi:10.1007/s10529-015-1921-2
Auteursinformatie

Elisabeth-TweeSteden Ziekenhuis, afd. Orthopedie, Tilburg: F. van Roon, MSc, anios orthopedie; dr. T. Gosens, orthopedisch chirurg.

Contact T. Gosens (t.gosens@etz.nl)

Belangenverstrengeling

Belangenconflict en financiële ondersteuning: er zijn mogelijke belangen gemeld bij dit artikel. ICMJE-formulieren met de belangenverklaring van de auteurs zijn online beschikbaar bij dit artikel.

Aanbevolen literatuur
  1. Verhaar JAN, van Mourik JBA. Orthopedie. 2e herziene dr. Houten: Bohn Stafleu van Loghum; 2008.Overige NHG-standaarden.
Gewrichtssparende behandelingen van de knie
Uitlegkader
Dit artikel is gepubliceerd in het dossier
Huisartsgeneeskunde
Nascholing
Heb je nog vragen na het lezen van dit artikel?
Check onze AI-tool en verbaas je over de antwoorden.
ASK NTVG

Ook interessant

Reacties