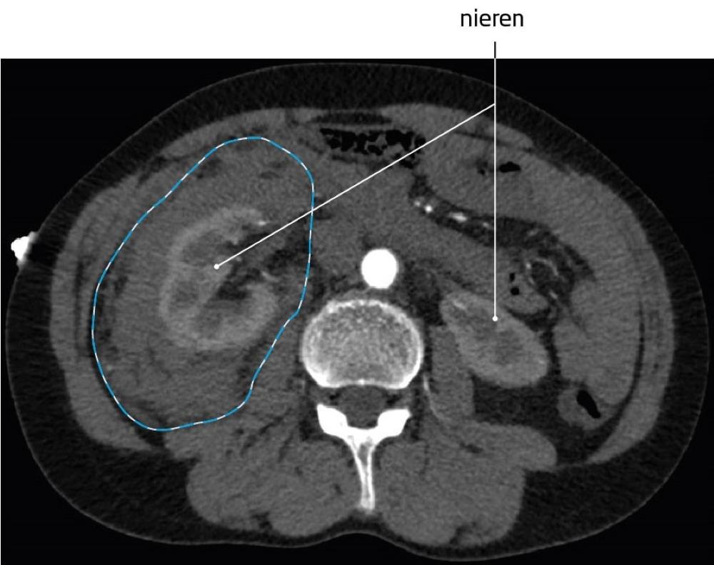
Gepubliceerd: Week 15 - 2024 1096 deelnemers Een 74-jarige vrouw komt op de spoedeisende hulp met livide verkleuring in de rechterflank en een Hb-waarde van 4,7 mmol/l. Je vermoedt een retroperitoneale bloeding. Welke klacht komt het meest voor bij een retroperitoneaal hematoom? Antwoord Pijn in de buik, die kan uitstralen naar rug of been. Een palpabele zwelling in de buik. Huidverkleuring van buik, rug of flank. Een daling van de bloeddruk. Antwoord controleren