Toevalsbevinding bij een man met een pijnlijke knie

Gepubliceerd:

221 deelnemers

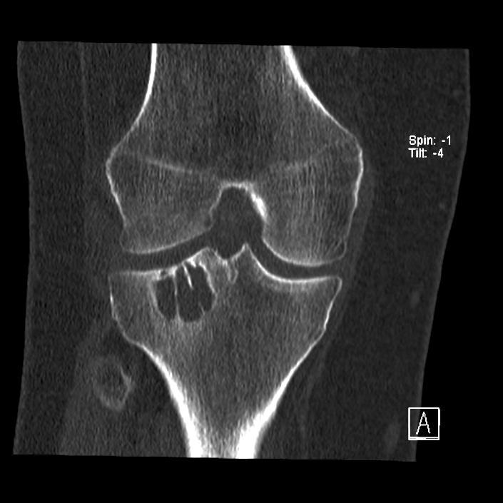
Op de SEH kwam een 40-jarige man met een pijnlijke rechter knie nadat hij zich had verstapt. Bij lichamelijk onderzoek viel een pijnlijke zwelling op, die berustte op lokaal oedeem ten gevolge van het ongeval. Ook was er sprake van drukpijn over de laterale zijde van het femur. Flexie in het kniegewricht was beperkt tot maximaal 70 graden. De collaterale ligamenten en de kruisbanden waren intact. Op de röntgenopnamen werd bij toeval een opheldering gezien in het laterale deel van de proximale tibia, waarna een CT-scan werd verricht.
Wat is uw diagnose?
Antwoord