Pijnlijke gevolgen van een wond aan de hals

Gepubliceerd:

1669 deelnemers

Week 16 D6595

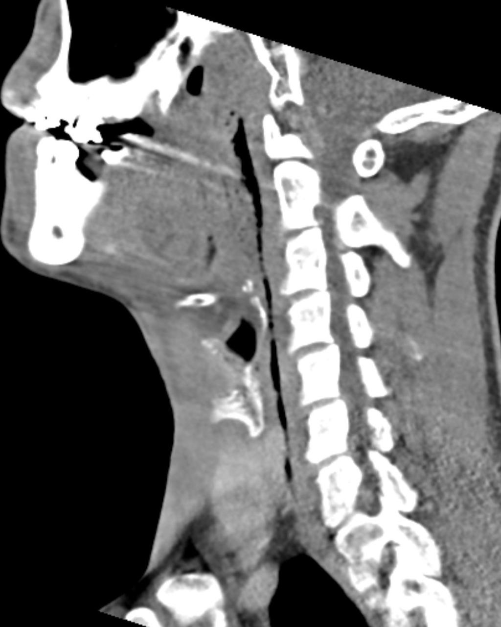
Een man komt op de SEH met een wond aan de hals die hij de avond daarvoor had opgelopen bij een val in de bosjes. De wond wordt steeds pijnlijker. Over een traject van 5 mm is de bodem van de wond niet te zien. Er is minimale zwelling en er zijn geen crepitaties te voelen. De diagnose wordt gesteld op de CT-scan.

Wat is de diagnose?

Antwoord