Misselijkheid bij eindstandig colostoma

Gepubliceerd:

142 deelnemers

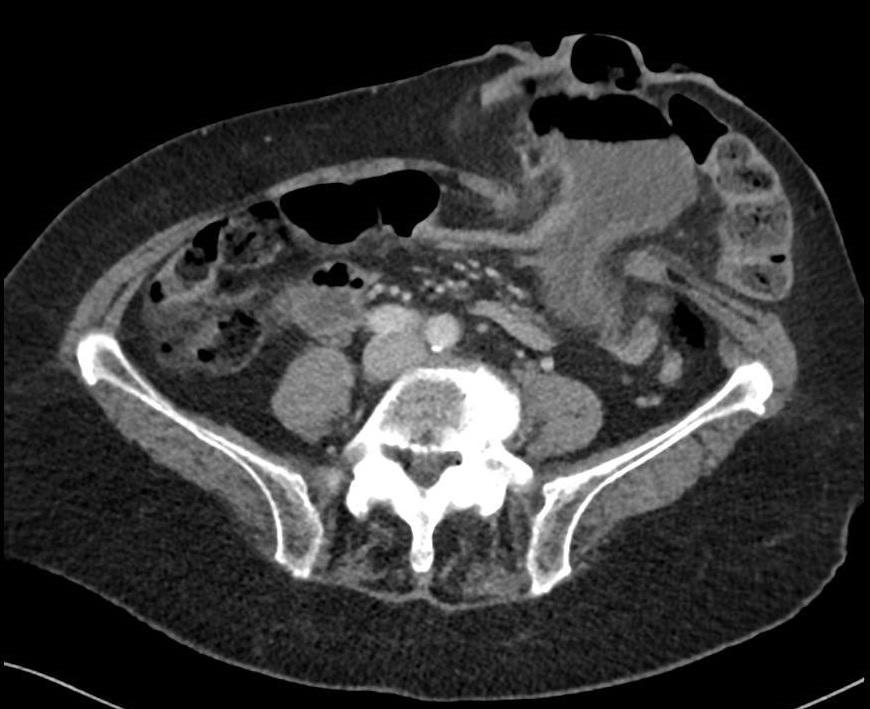
Een 88-jarige vrouw krijgt plotseling last van hevige misselijkheid en braken. Zij heeft sinds 6 jaar een eindstandig colostoma in de linker onderbuik na een curatieve resectie van een rectumcarcinoom. Het gebied rond het stoma is drukpijnlijk. Wegens een klinische verdenking op een hoge gastro-intestinale obstructie wordt er een CT-scan gemaakt.

Wat is uw diagnose?
Antwoord