Luchtwegklachten na re-spondylodese

Gepubliceerd:

1105 deelnemers

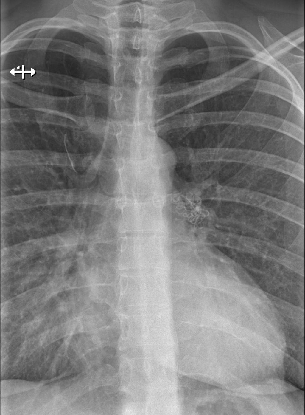
Röntgenbeeld

Een 36-jarige vrouw komt bij de huisarts met langdurige hoestklachten en dyspneu. Tien jaar geleden heeft zij een spondylodese ondergaan; een jaar geleden is een losse schroef gefixeerd met cement. Na een kuur amoxicilline houden de luchtwegklachten aan. Er volgt een thoraxfoto. 

Wat is de diagnose?

Antwoord