Harde zwellingen van de vingers

Gepubliceerd:

201 deelnemers

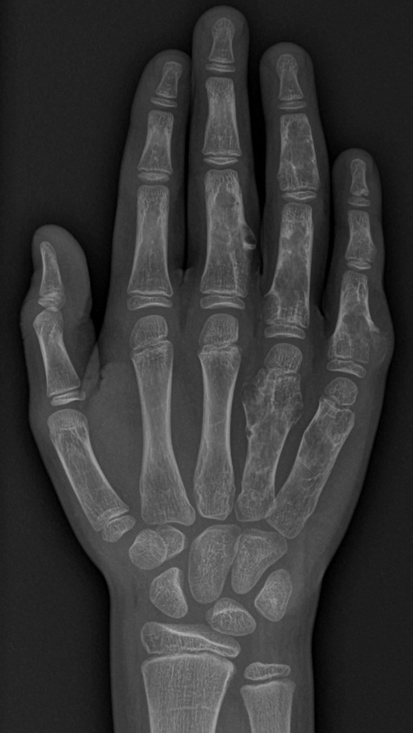
Een 10-jarige jongen had aan zijn vingers beenharde zwellingen die langzaam groeiden. De zwellingen deden geen pijn en hij had recent geen trauma of fractuur doorgemaakt. Op de MRI-scan van de hand waren geen hemangiomen of lymfangiomen te zien.

Wat is uw diagnose?
Antwoord