Een vrouw met urineweginfecties en flankpijn

Gepubliceerd:

163 deelnemers

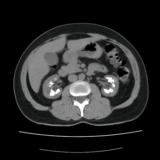
Een 52-jarige vrouw presenteerde zich op de polikliniek Urologie vanwege recidiverende urineweginfecties en pijn in de linker flank. Anamnestisch had patiënte sinds 20 jaar last van urolithiasis en daarbij had zij meerdere malen nierstenen uitgeplast. Een abdominale CT-scan toonde beiderzijds uitgebreide calcificaties van de nier. Een buikoverzichtsfoto liet tevens een niersteen in de linker ureter zien.
Wat is uw diagnose?
Antwoord