Een vrouw met rechtszijdig verminderd ademgeruis

Gepubliceerd:

697 deelnemers

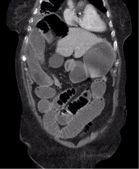
Radiologisch figuur van de romp.

Een 89-jarige vrouw komt op de SEH met sinds 2 dagen progressieve dyspneu na een periode van buikpijn en obstipatie. Bij auscultatie is verminderd ademgeruis rechts en crepiteren links basaal hoorbaar. De ademfrequentie is 48/min; de bloeddruk 68/32 mmHg. Er wordt een CT-scan van thorax en abdomen gemaakt.

Wat is er aan de hand?

Antwoord