Een vrouw met multipele zwellingen aan de linker hand

Gepubliceerd:

170 deelnemers

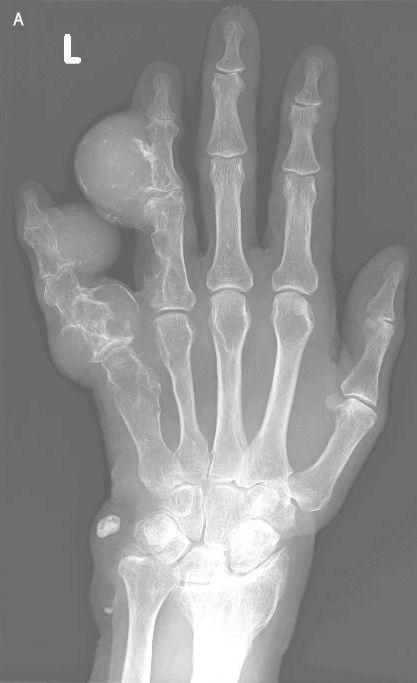
Een 66-jarige vrouw bezocht de polikliniek Orthopedie met enkele bolvormige, beenharde, pijnloze zwellingen aan de linker ringvinger en pink. Deze waren haar hele leven al aanwezig geweest, maar de laatste jaren waren zij duidelijk groter worden en gaven zij lichte bewegingsbeperkingen van de vingers. Daarnaast waren er multipele hemangiomen zichtbaar op haar linker voet, rechter hand en beide polsen en had zij een beenlengteverschil van 5 cm ten nadele van het linker been.
Wat is uw diagnose?
Antwoord