Een vrouw met dyspneu en een huidafwijking

Gepubliceerd:

1199 deelnemers

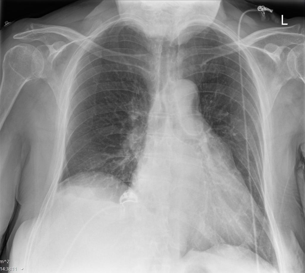
Een 74-jarige vrouw, bekend met astma en hartfalen, wordt verwezen naar de Eerste Harthulp vanwege progressieve dyspneu. Voorafgaand aan deze klacht had zij herpes zoster rechts op de thorax en in de nek ontwikkeld, ter plaatse van dermatoom C4-C5.

Wat is de diagnose?

Antwoord